You have no items in your shopping cart.
You have no items in your shopping cart.
| Catalog Number | orb1951794 |
|---|---|
| Category | Antibodies |
| Description | mTOR Rabbit mAb |
| Clonality | Recombinant |
| Species/Host | Rabbit |
| Conjugation | Unconjugated |
| Reactivity | Human, Mouse, Rat |
| UniProt ID | P42345 |
| Tested applications | FC, ICC, IHC, IP, WB |
| Antibody Type | Recombinant Antibody |
| Storage | Maintain refrigerated at 2-8°C for up to 2 weeks. For long term storage store at -20°C in small aliquots to prevent freeze-thaw cycles. |
| Note | For research use only |

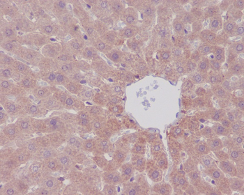
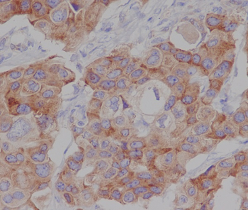
Immunohistochemical analysis of paraffin-embedded rat liver, using mTOR Antibody.

Western blot analysis of mTOR expression in Jurkat cell lysate.
FC, ICC, IHC, IP, WB | |
Human, Mouse, Rat | |
Rabbit | |
Recombinant | |
Unconjugated |
IHC-P, WB | |
Human, Mouse | |
Monoclonal | |
Unconjugated |
IHC, WB | |
Human, Mouse, Porcine, Rat | |
Rabbit | |
Recombinant | |
Unconjugated |
ICC, IP, WB | |
Human | |
Rabbit | |
Recombinant | |
Unconjugated |
WB | |
Human, Mouse, Rat | |
Monoclonal | |
Unconjugated |
Participating in our Biorbyt product reviews program enables you to support fellow scientists by sharing your firsthand experience with our products.
Login to Submit a Review