You have no items in your shopping cart.
TJP1 Antibody
Description
Images & Validation
−| Tested Applications | ELISA, FC, IF, IHC, IP, WB |
|---|---|
| Dilution range | WB: 1:200-1:2000; IP: 1:200-1:2000; IHC: 1:50-1:200; IF: 1:20-1:200 |
| Reactivity | Human, Mouse, Rat |
Key Properties
−| Antibody Type | Primary Antibody |
|---|---|
| Host | Rabbit |
| Clonality | Polyclonal |
| Isotype | IgG |
| Immunogen | tight junction protein 1(zona occludens 1) |
| Target | TJP1 |
| Molecular Weight | 195 kDa |
| Purity | ≥95% as determined by SDS-PAGE |
| Purification | Immunogen affinity purified |
| Conjugation | Unconjugated |
Storage & Handling
−| Storage | Maintain refrigerated at 2-8°C for up to 2 weeks. For long term storage store at -20°C in small aliquots to prevent freeze-thaw cycles. |
|---|---|
| Form/Appearance | liquid |
| Disclaimer | For research use only |
Alternative Names
−Similar Products
−ZO1 Antibody [orb153344]
IF, IHC-Fr, IHC-P, WB
Canine, Human, Monkey, Mouse, Rat
Goat
Polyclonal
Unconjugated
100 μgZO-1/TJP1 Rabbit Polyclonal Antibody [orb499587]
FC, ICC, WB
Bovine, Canine, Gallus, Goat, Guinea pig, Mouse, Porcine, Rat, Sheep
Human
Rabbit
Polyclonal
Unconjugated
200 μl, 100 μl, 50 μlTJP1 Antibody (monoclonal, 3E12) [orb610914]
FC, ICC, IF, IHC, WB
Human
Mouse
Monoclonal
Unconjugated
100 μg

Quality Guarantee
Explore bioreagents carefree to elevate your research. All our products are rigorously tested for performance. If a product does not perform as described on its datasheet, our scientific support team will provide expert troubleshooting, a prompt replacement, or a refund. For full details, please see our Terms & Conditions and Buying Guide. Contact us at [email protected].

HepG2 cells were subjected to SDS PAGE followed by western blot with orb632832 (ZO1 antibody) at dilution of 1:500.

Immunofluorescent analysis of MCF7 cells using orb632832 (ZO-1 Antibody) at dilution of 1:100.

IP result of anti-ZO-1 (IP: orb632832, 4 ug; Detection: orb632832 1:500) with HEK-293 cells lysate 2320 ug.

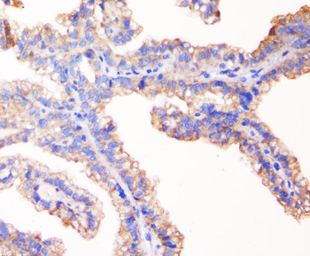
Immunohistochemistry of paraffin-embedded human kidney using orb632832 (ZO1 antibody) at dilution of 1:100.
Quick Database Links
UniProt Details
−Documents Download
Request a Document
Protocol Information
TJP1 Antibody (orb632832)
Participating in our Biorbyt product reviews program enables you to support fellow scientists by sharing your firsthand experience with our products.
Login to Submit a Review


































