You have no items in your shopping cart.
STING1 Antibody
Description
Research Area
Images & Validation
−| Tested Applications | IHC |
|---|---|
| Reactivity | Human |
Key Properties
−| Host | Mouse |
|---|---|
| Clonality | Monoclonal |
| Isotype | IgG |
| Clone No. | STING1/7431 |
| Immunogen | Recombinant fragment (around aa190-290) of human TMEM173 protein (exact sequence is proprietary) |
| Target | STING1 |
| Source/Expression System | Bioreactor |
| Molecular Weight | 37-50kDa |
| Purification | Protein A/G |
| Conjugation | Unconjugated |
Storage & Handling
−| Storage | Maintain refrigerated at 2-8°C for up to 2 weeks. For long term storage store at -20°C in small aliquots to prevent freeze-thaw cycles. |
|---|---|
| Form/Appearance | 200ug/ml of Ab purified from Bioreactor Concentrate by Protein A/G. Prepared in 10mM PBS with 0.05% rAlbumin & 0.05% azide. Also available WITHOUT rAlbumin & azide at 1.0mg/ml. |
| Expiration Date | 12 months from date of receipt. |
| Disclaimer | For research use only |
Alternative Names
−Similar Products
−STING1 Recombinant Rabbit Monoclonal Antibody [orb1173056]
FC, ICC, IF, IHC-Fr, IHC-P, WB
Human
Human
Rabbit
Recombinant
Unconjugated
25 μl, 100 μl, 50 μlSTING1 Rabbit Polyclonal Antibody [orb1229]
WB
Human
Human, Mouse, Rat
Rabbit
Polyclonal
Unconjugated
50 μl, 100 μl, 200 μl

Quality Guarantee
Explore bioreagents carefree to elevate your research. All our products are rigorously tested for performance. If a product does not perform as described on its datasheet, our scientific support team will provide expert troubleshooting, a prompt replacement, or a refund. For full details, please see our Terms & Conditions and Buying Guide. Contact us at [email protected].

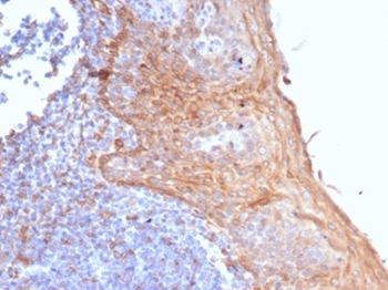
Formalin-fixed, paraffin-embedded human tonsil stained with STING1 Mouse Monoclonal Antibody (STING1/7431). HIER: Tris/EDTA, pH9.0, 45 min. 2°: HRP-polymer, 30 min. DAB, 5 min.

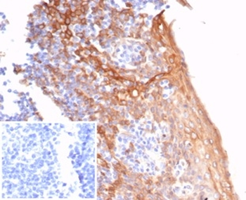
Formalin-fixed, paraffin-embedded human tonsil stained with STING1 Mouse Monoclonal Antibody (STING1/7431). Inset: PBS instead of primary antibody; secondary only negative control.
Quick Database Links
UniProt Details
−Documents Download
Request a Document
STING1 Antibody (orb1409997)
Participating in our Biorbyt product reviews program enables you to support fellow scientists by sharing your firsthand experience with our products.
Login to Submit a Review















