You have no items in your shopping cart.
PLEK Antibody
Description
Images & Validation
−| Tested Applications | ELISA, FC, IF, IHC, WB |
|---|---|
| Reactivity | Human |
| Application Notes |
Key Properties
−| Antibody Type | Primary Antibody |
|---|---|
| Host | Goat |
| Clonality | Polyclonal |
| Immunogen | The immunogen for this antibody is: C-EWIKAIQMASRTGK |
| Target | PLEK |
| Purification | Purified from goat serum by ammonium sulphate precipitation followed by antigen affinity chromatography using the immunizing peptide. |
| Conjugation | Unconjugated |
Storage & Handling
−| Storage | Maintain refrigerated at 2-8°C for up to 2 weeks. For long term storage store at -20°C in small aliquots to prevent freeze-thaw cycles. |
|---|---|
| Form/Appearance | Liquid |
| Buffer/Preservatives | Supplied at 0.5 mg/ml in Tris saline, 0.02% sodium azide, pH 7.3 with 0.5% bovine serum albumin. Aliquot and store at -20°C. Minimize freezing and thawing. |
| Concentration | 500 ug/mL |
| Disclaimer | For research use only |
Alternative Names
−Similar Products
−PLEK/Pleckstrin Antibody [orb1538013]
ELISA, IF, IHC, IHC-P, WB
Human
Goat
Polyclonal
Unconjugated
50 μgGoat anti-Pleckstrin Antibody [orb18824]
ELISA, FC, IF, IHC, WB
Human
Goat
Polyclonal
Unconjugated
100 μgP47/Pleckstrin Rabbit Polyclonal Antibody [orb1111]
IF, IHC-Fr, IHC-P, WB
Bovine, Equine, Human, Porcine, Sheep
Mouse, Rat
Rabbit
Polyclonal
Unconjugated
100 μl, 50 μl, 200 μl

Quality Guarantee
Explore bioreagents carefree to elevate your research. All our products are rigorously tested for performance. If a product does not perform as described on its datasheet, our scientific support team will provide expert troubleshooting, a prompt replacement, or a refund. For full details, please see our Terms & Conditions and Buying Guide. Contact us at [email protected].

orb1247091 staining (0.01 ug/ml) of Human Parathyroid lysate (A) and negative control HepG2 (B) cell lysate (35 ug protein in RIPA buffer). Detected by chemiluminescence.

orb1247091 (3.75 ug/ml) staining of paraffin embedded Human Vessel (platelets). Steamed antigen retrieval with citrate buffer Ph 6, AP-staining.

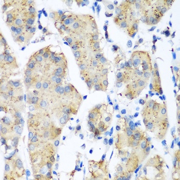
orb1247091 (3.75 ug/ml) staining of paraffin embedded Human Spleen. Steamed antigen retrieval with citrate buffer Ph 6, AP-staining.

orb1247091 Immunofluorescence analysis of paraformaldehyde fixed HeLa cells, permeabilized with 0.15% Triton. Primary incubation 1hr (10 ug/ml) followed by Alexa Fluor 488 secondary antibody (2 ug/ml), showing cytoplasmic/membrane and nuclear staining.

orb1247091 Flow cytometric analysis of paraformaldehyde fixed HeLa cells (blue line), permeabilized with 0.5% Triton. Primary incubation 1hr (10 ug/ml) followed by Alexa Fluor 488 secondary antibody (1 ug/ml). IgG control: Unimmunized goat IgG (black line).
Quick Database Links
UniProt Details
−NCBI Reference Sequences
−| Protein | NP_002655.2 |
|---|
Documents Download
Request a Document
Protocol Information
PLEK Antibody (orb1247091)
Participating in our Biorbyt product reviews program enables you to support fellow scientists by sharing your firsthand experience with our products.
Login to Submit a Review










