You have no items in your shopping cart.
ZIC3 Antibody
Description
Research Area
Images & Validation
−| Tested Applications | FC, IHC-P, WB |
|---|---|
| Reactivity | Human |
| Application Notes |
Key Properties
−| Antibody Type | Primary Antibody |
|---|---|
| Host | Rabbit |
| Clonality | Polyclonal |
| Isotype | Rabbit Ig |
| Immunogen | This ZIC3 antibody is generated from rabbits immunized with a KLH conjugated synthetic peptide between 239-267 amino acids from the Central region of human ZIC3. |
| Target | ZIC3 |
| Molecular Weight | 51 kDa |
| Purification | This antibody is prepared by Saturated Ammonium Sulfate (SAS) precipitation followed by dialysis |
| Conjugation | Unconjugated |
Storage & Handling
−| Storage | Maintain refrigerated at 2-8°C for up to 2 weeks. For long term storage store at -20°C in small aliquots to prevent freeze-thaw cycles. |
|---|---|
| Form/Appearance | Liquid |
| Buffer/Preservatives | Supplied in PBS with 0.09% (W/V) sodium azide. |
| Concentration | batch dependent |
| Expiration Date | 12 months from date of receipt. |
| Disclaimer | For research use only |
Alternative Names
−Similar Products
−ZIC3 Rabbit Polyclonal Antibody [orb158781]
IF, IHC-Fr, IHC-P, WB
Bovine, Canine, Gallus, Human, Porcine, Sheep
Mouse, Rat
Rabbit
Polyclonal
Unconjugated
50 μl, 100 μl, 200 μlZIC1/2/3 Rabbit Polyclonal Antibody [orb304668]
IF, IHC, WB
Gallus, Human, Mouse, Rat
Rabbit
Polyclonal
Unconjugated
30 μl, 100 μl, 200 μl, 50 μlZIC3 (aa178-189) Antibody [orb12399]
ELISA, IHC
Bovine, Canine, Mouse, Porcine, Rat
Human
Goat
Polyclonal
Unconjugated
100 μg

Quality Guarantee
Explore bioreagents carefree to elevate your research. All our products are rigorously tested for performance. If a product does not perform as described on its datasheet, our scientific support team will provide expert troubleshooting, a prompt replacement, or a refund. For full details, please see our Terms & Conditions and Buying Guide. Contact us at [email protected].

Western Blot at 1:1000 dilution + HL-60 whole cell lysate Lysates/proteins at 20 ug per lane.

Western blot analysis in CEM cell line lysates (35 ug/lane).

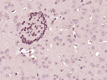
ZIC3 Antibody immunohistochemistry analysis in formalin fixed and paraffin embedded human brain tissue followed by peroxidase conjugation of the secondary antibody and DAB staining.

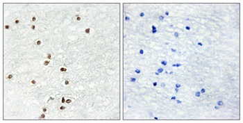
Flow cytometric analysis of CEM cells (right histogram) compared to a negative control cell (left histogram). FITC-conjugated goat-anti-rabbit secondary antibodies were used for the analysis.
Documents Download
Request a Document
Protocol Information
ZIC3 Antibody (orb1264617)
Participating in our Biorbyt product reviews program enables you to support fellow scientists by sharing your firsthand experience with our products.
Login to Submit a Review











