You have no items in your shopping cart.
TRPA1 Antibody
Description
Research Area
Images & Validation
−| Tested Applications | ELISA, IHC, WB |
|---|---|
| Dilution range | WB: 1:500 - 1:2000; IHC: 1:50 - 1:200 |
| Reactivity | Human, Mouse, Rat |
Key Properties
−| Antibody Type | Primary Antibody |
|---|---|
| Host | Rabbit |
| Clonality | Polyclonal |
| Isotype | IgG |
| Immunogen | transient receptor potential cation channel, subfamily A, member 1 |
| Target | TRPA1 |
| Molecular Weight | 113 kDa |
| Purity | ≥95% as determined by SDS-PAGE |
| Purification | Immunogen affinity purified |
| Conjugation | Unconjugated |
Storage & Handling
−| Storage | Maintain refrigerated at 2-8°C for up to 2 weeks. For long term storage store at -20°C in small aliquots to prevent freeze-thaw cycles. |
|---|---|
| Form/Appearance | liquid |
| Disclaimer | For research use only |
Alternative Names
−Similar Products
−TRPA1 Rabbit Polyclonal Antibody [orb575403]
IF, IHC, WB
Bovine, Canine, Equine, Guinea pig, Rabbit, Yeast
Human, Mouse, Rat
Rabbit
Polyclonal
Unconjugated
100 μlHuman Transient Receptor Potential Cation Channel Subfamily A, Member 1 (TRPA1) ELISA Kit [orb778550]
Human
0.63-40 ng/mL
0.228 ng/mL
96 T, 48 TRat Transient Receptor Potential Cation Channel Subfamily A, Member 1 (TRPA1) ELISA Kit [orb1817322]
Rat
0.16-10 ng/mL
0.065 ng/mL
96 T, 48 T

Quality Guarantee
Explore bioreagents carefree to elevate your research. All our products are rigorously tested for performance. If a product does not perform as described on its datasheet, our scientific support team will provide expert troubleshooting, a prompt replacement, or a refund. For full details, please see our Terms & Conditions and Buying Guide. Contact us at [email protected].

SH-SY5Y cells were subjected to SDS PAGE followed by western blot with orb632175 (TRPA1 antibody) at dilution of 1:1000.

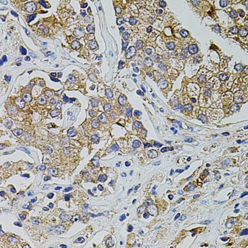
Immunohistochemistry of paraffin-embedded human prostate cancer using orb632175 (TRPA1 antibody) at dilution of 1:100.
Quick Database Links
UniProt Details
−Documents Download
Request a Document
Protocol Information
TRPA1 Antibody (orb632175)
Participating in our Biorbyt product reviews program enables you to support fellow scientists by sharing your firsthand experience with our products.
Login to Submit a Review















