You have no items in your shopping cart.
PLIN3 Antibody
Description
Research Area
Images & Validation
−| Tested Applications | ELISA, IF, IHC-P, WB |
|---|---|
| Reactivity | Human, Mouse, Rat |
| Predicted Reactivity | Porcine |
Key Properties
−| Antibody Type | Primary Antibody |
|---|---|
| Host | Rabbit |
| Clonality | Polyclonal |
| Isotype | IgG |
| Immunogen | Anti-TIP47 antibody (orb1240193) was raised against a peptide corresponding to 14 amino acids near the carboxy terminus of human TIP47. The immunogen is located within the last 50 amino acids of TIP47. |
| Target | PLIN3 |
| Molecular Weight | Predicted: 47kD Observed: 47kD |
| Purification | TIP47 Antibody is affinity chromatography purified via peptide column. |
| Conjugation | Unconjugated |
Storage & Handling
−| Storage | Maintain refrigerated at 2-8°C for up to 2 weeks. For long term storage store at -20°C in small aliquots to prevent freeze-thaw cycles. |
|---|---|
| Form/Appearance | Liquid |
| Buffer/Preservatives | TIP47 Antibody is supplied in PBS containing 0.02% sodium azide. |
| Concentration | 1 mg/mL |
| Expiration Date | 12 months from date of receipt. |
| Disclaimer | For research use only |
Alternative Names
−Similar Products
−PLIN3 Antibody [orb1240194]
ELISA, IHC-P, WB
Porcine, Rat
Human, Mouse
Rabbit
Polyclonal
Unconjugated
0.1 mg, 0.02 mg

Quality Guarantee
Explore bioreagents carefree to elevate your research. All our products are rigorously tested for performance. If a product does not perform as described on its datasheet, our scientific support team will provide expert troubleshooting, a prompt replacement, or a refund. For full details, please see our Terms & Conditions and Buying Guide. Contact us at [email protected].

Western Blot Validation in Human Daudi Cells. Loading: 15 µg of lysates per lane. Antibodies: TIP47 orb1240193, 1h incubation at RT in 5% NFDM/TBST. Secondary: Goat anti-rabbit IgG HRP conjugate at 1:10000 dilution. Lane 1: 1 µg/mL, Lane2: 2 µg/mL.

Independent Antibody Validation (IAV) via Protein Expression Profile in Human Cell Lines. Loading: 15 µg of lysates per lane. Antibodies: TIP47 orb1240193 (4 µg/mL), TIP47 orb1240194 (1 µg/mL), and beta-actin (1 µg/mL), 1h incubation at RT in 5% NFDM/TBST. Secondary: Goat anti-rabbit IgG HRP conjugate at 1:10000 dilution.

Western Blot Validation in Rat Liver. Loading: 15 µg of lysates per lane. Antibodies: TIP47 orb1240193, 1h incubation at RT in 5% NFDM/TBST. Secondary: Goat anti-rabbit IgG HRP conjugate at 1:10000 dilution. Lane 1: 0.5 µg/mL, Lane2: 1 µg/mL, Lane3: 2 µg/mL.

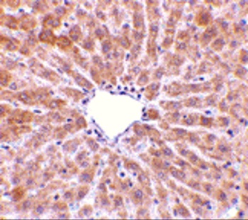
Immunohistochemistry Validation of TIP47 in Rat Liver Tissue. Immunohistochemical analysis of paraffin-embedded Rat Liver Tissue using anti-TIP47 antibody (orb1240193) at 10 µg/ml. Tissue was fixed with formaldehyde and blocked with 10% serum for 1 h at RT; antigen retrieval was by heat mediation with a citrate buffer (pH6). Samples were incubated with primary antibody overnight at 4°C. A goat anti-rabbit IgG H&L (HRP) at 1/250 was used as secondary. Counter stained with Hematoxylin.

Immunofluorescence Validation of TIP47 in Rat Liver Cells. Immunofluorescent analysis of 4% paraformaldehyde-fixed rat liver cells labeling TIP47 with orb1240193 at 20 µg/mL, followed by goat anti-rabbit IgG secondary antibody at 1/500 dilution (red).

Induced Expression Validation of TIP47 in Atg7 Liver KO Mice (Singh et al., 2009). TIP47 expression detected by anti-TIP47 antibodies was markedly increased in the liver of Atg7 liver KO mice.

Induced Expression Validation of TIP47 in Mouse Liver (Singh et al., 2009). TIP47 expression detected by anti-TIP47 antibodies was increased in the autophagic vacuoles (AVs) and lysosomes (Lys) after starvation.

Induced Expression Validation of TIP47 in HT29 Cells (Qi et al., 2013). TIP47 expression detected by anti-TIP47 antibodies was increased in the colonic cells after oleic acid treatment.
Documents Download
Request a Document
Protocol Information
PLIN3 Antibody (orb1240193)
Participating in our Biorbyt product reviews program enables you to support fellow scientists by sharing your firsthand experience with our products.
Login to Submit a Review















