You have no items in your shopping cart.
TCTN2 Antibody
Description
Images & Validation
−| Tested Applications | ELISA, IF, IHC, IP |
|---|---|
| Dilution range | IP: 1:500-1:1000; IHC: 1:20-1:200; IF: 1:20-1:200 |
| Reactivity | Human, Mouse, Rat |
Key Properties
−| Antibody Type | Primary Antibody |
|---|---|
| Host | Rabbit |
| Clonality | Polyclonal |
| Isotype | IgG |
| Immunogen | tectonic family member 2 |
| Target | TCTN2 |
| Molecular Weight | 77 kDa |
| Purity | ≥95% as determined by SDS-PAGE |
| Purification | Immunogen affinity purified |
| Conjugation | Unconjugated |
Storage & Handling
−| Storage | Maintain refrigerated at 2-8°C for up to 2 weeks. For long term storage store at -20°C in small aliquots to prevent freeze-thaw cycles. |
|---|---|
| Form/Appearance | liquid |
| Disclaimer | For research use only |
Alternative Names
−Similar Products
−TCTN2 Rabbit Polyclonal Antibody [orb587139]
WB
Equine, Mouse, Porcine, Rat
Human
Rabbit
Polyclonal
Unconjugated
100 μl

Quality Guarantee
Explore bioreagents carefree to elevate your research. All our products are rigorously tested for performance. If a product does not perform as described on its datasheet, our scientific support team will provide expert troubleshooting, a prompt replacement, or a refund. For full details, please see our Terms & Conditions and Buying Guide. Contact us at [email protected].

IP Result of anti-TCTN2 (IP: orb631789, 4 ug; Detection: orb631789 1:500) with mouse lung tissue lysate 4000 ug.

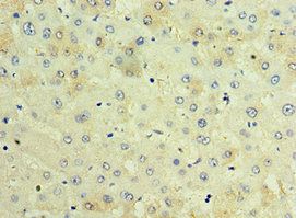
Immunohistochemical of paraffin-embedded human liver using orb631789 (TCTN2 antibody) at dilution of 1:100.
Quick Database Links
UniProt Details
−Documents Download
Request a Document
Protocol Information
TCTN2 Antibody (orb631789)
Participating in our Biorbyt product reviews program enables you to support fellow scientists by sharing your firsthand experience with our products.
Login to Submit a Review





