You have no items in your shopping cart.
SREBF2 Antibody
Description
Research Area
Images & Validation
−| Tested Applications | ELISA, IF, IHC |
|---|---|
| Dilution range | IHC-P:1:20-200, IF:1:50-200 |
| Reactivity | Human |
Key Properties
−| Host | Rabbit |
|---|---|
| Clonality | Polyclonal |
| Isotype | IgG |
| Immunogen | Recombinant Human Sterol regulatory element-binding protein 2 protein (75-164AA) |
| Target | SREBF2 |
| Purification | >95%, Protein G purified |
| Conjugation | Unconjugated |
Storage & Handling
−| Storage | Maintain refrigerated at 2-8°C for up to 2 weeks. For long term storage store at -20°C in small aliquots to prevent freeze-thaw cycles. |
|---|---|
| Form/Appearance | Liquid |
| Buffer/Preservatives | Preservative: 0.03% Proclin 300. Constituents: 50% Glycerol |
| Disclaimer | For research use only |
Alternative Names
−Similar Products
−SREBP2/SREBF2 Antibody [orb865731]
ELISA, FC, ICC, IF, WB
Human, Mouse, Rat
Rabbit
Polyclonal
Unconjugated
100 μgSREBF2 Rabbit Polyclonal Antibody [orb592855]
IHC, WB
Bovine, Canine, Equine, Guinea pig, Rat
Human
Rabbit
Polyclonal
Unconjugated
100 μlSREBP2 Rabbit Polyclonal Antibody (APC) [orb994742]
FC, ICC, IF
Equine, Porcine, Rat
Human, Mouse
Rabbit
Polyclonal
APC
100 μl

Quality Guarantee
Explore bioreagents carefree to elevate your research. All our products are rigorously tested for performance. If a product does not perform as described on its datasheet, our scientific support team will provide expert troubleshooting, a prompt replacement, or a refund. For full details, please see our Terms & Conditions and Buying Guide. Contact us at [email protected].

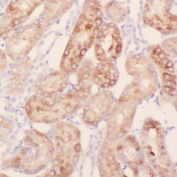
Immunohistochemical staining of human kidney tissue using SREBF2 antibody

Immunohistochemical staining of human placenta tissue using SREBF2 antibody

Immunofluorescence analysis of Hela cells using SREBF2 antibody
Quick Database Links
UniProt Details
−Documents Download
Request a Document
Protocol Information
SREBF2 Antibody (orb401684)
Participating in our Biorbyt product reviews program enables you to support fellow scientists by sharing your firsthand experience with our products.
Login to Submit a Review











