You have no items in your shopping cart.
SMUBP2 Polyclonal Antibody
Description
Research Area
Images & Validation
−| Tested Applications | ELISA, ICC, IF, IHC-Fr, IHC-P, WB |
|---|---|
| Reactivity | Porcine, Rat |
Key Properties
−| Host | Rabbit |
|---|---|
| Clonality | Polyclonal |
| Conjugation | Unconjugated |
Storage & Handling
−| Storage | Maintain refrigerated at 2-8°C for up to 2 weeks. For long term storage store at -20°C in small aliquots to prevent freeze-thaw cycles |
|---|---|
| Expiration Date | 12 months from date of receipt. |
| Disclaimer | For research use only |
Alternative Names
−Similar Products
−Ighmbp2 Rabbit Polyclonal Antibody [orb324754]
WB
Bovine, Canine, Guinea pig, Human, Rat
Mouse
Rabbit
Polyclonal
Unconjugated
100 μlIGHMBP2 Rabbit Polyclonal Antibody [orb627958]
ELISA, IHC, WB
Human
Rabbit
Polyclonal
Unconjugated
50 μg, 100 μgIGHMBP2 Rabbit Polyclonal Antibody [orb666984]
IHC, WB
Human, Mouse, Rat
Rabbit
Polyclonal
Unconjugated
50 μl, 100 μl, 200 μl, 30 μlSMUBP2 Rabbit Polyclonal Antibody [orb158430]
IF, IHC-Fr, IHC-P
Bovine, Human, Porcine, Rat, Sheep
Mouse
Rabbit
Polyclonal
Unconjugated
50 μl, 100 μl, 200 μl

Quality Guarantee
Explore bioreagents carefree to elevate your research. All our products are rigorously tested for performance. If a product does not perform as described on its datasheet, our scientific support team will provide expert troubleshooting, a prompt replacement, or a refund. For full details, please see our Terms & Conditions and Buying Guide. Contact us at [email protected].

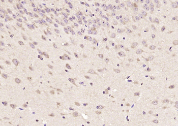
Paraformaldehyde-fixed, paraffin embedded (mouse brain); Antigen retrieval by boiling in sodium citrate buffer (pH6.0) for 15 min; Block endogenous peroxidase by 3% hydrogen peroxide for 20 minutes; Blocking buffer (normal goat serum) at 37°C for 30 min; Antibody incubation with (SMUBP2) Polyclonal Antibody, Unconjugated at 1: 200 overnight at 4°C, followed by operating according to SP Kit (Rabbit) instructions and DAB staining.
Quick Database Links
UniProt Details
−Documents Download
Request a Document
Protocol Information
SMUBP2 Polyclonal Antibody (orb1421014)
Participating in our Biorbyt product reviews program enables you to support fellow scientists by sharing your firsthand experience with our products.
Login to Submit a Review







