You have no items in your shopping cart.
Smad1 Rabbit mAb
Description
Images & Validation
−| Tested Applications | FC, ICC, IHC, WB |
|---|---|
| Reactivity | Human |
Key Properties
−| Antibody Type | Recombinant Antibody |
|---|---|
| Host | Rabbit |
| Clonality | Recombinant |
Storage & Handling
−| Storage | Maintain refrigerated at 2-8°C for up to 2 weeks. For long term storage store at -20°C in small aliquots to prevent freeze-thaw cycles. |
|---|---|
| Disclaimer | For research use only |
Similar Products
−Smad4 Rabbit mAb [KD Validated] [orb1951975]
IHC, WB
Human, Mouse, Rat
Rabbit
Recombinant
Unconjugated
100 μl, 50 μlPhospho-Smad1 (Ser463/Ser465) Rabbit mAb [orb1472315]
WB
Human, Mouse
Rabbit
Recombinant
Unconjugated
100 μl, 50 μlPhospho-Smad1 (Ser463/Ser465) Rabbit mAb [orb1563978]
IP, WB
Human, Rat
Monoclonal
Unconjugated
20 μl, 50 μl, 100 μlPhospho-Smad1 (Ser463/Ser465) Recombinant Rabbit mAb [orb2327181]
ICC, IP, WB
Human, Mouse
Rabbit
Recombinant
Unconjugated
100 μl, 50 μl, 25 μl

Quality Guarantee
Explore bioreagents carefree to elevate your research. All our products are rigorously tested for performance. If a product does not perform as described on its datasheet, our scientific support team will provide expert troubleshooting, a prompt replacement, or a refund. For full details, please see our Terms & Conditions and Buying Guide. Contact us at [email protected].

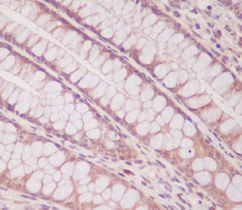
Immunohistochemical analysis of paraffin-embedded human colon, using Smad1 Antibody.

Western blot analysis of Smad1 expression in 293T cell lysate.
Quick Database Links
UniProt Details
−Documents Download
Request a Document
Protocol Information
Smad1 Rabbit mAb (orb1951387)
Participating in our Biorbyt product reviews program enables you to support fellow scientists by sharing your firsthand experience with our products.
Login to Submit a Review![Smad4 Rabbit mAb [KD Validated]](/images/pub/media/catalog/product/NewWebsite/18/orb1951975_1.png)
![Smad4 Rabbit mAb [KD Validated]](/images/pub/media/catalog/product/NewWebsite/18/orb1951975_2.png)
![Smad4 Rabbit mAb [KD Validated]](/images/pub/media/catalog/product/NewWebsite/18/orb1951975_3.png)




