You have no items in your shopping cart.
Description
Research Area
Images & Validation
−| Tested Applications | ELISA, FC, IF, IHC, IP, WB |
|---|---|
| Dilution Range | WB: 1:500-1:5000; IP: 1:500-1:5000; IHC: 1:100-1:400; IF: 1:10-1:100 |
| Reactivity | Human, Mouse, Rat |
Key Properties
−| Antibody Type | Primary Antibody |
|---|---|
| Host | Rabbit |
| Clonality | Polyclonal |
| Isotype | IgG |
| Immunogen | ribosomal protein S6 kinase, 70kDa, polypeptide 1 |
| Target | RPS6KB1 |
| Molecular Weight | 65 kDa |
| Purity | ≥95% as determined by SDS-PAGE |
| Purification | Immunogen affinity purified |
| Conjugation | Unconjugated |
Storage & Handling
−| Storage | Maintain refrigerated at 2-8°C for up to 2 weeks. For long term storage store at -20°C in small aliquots to prevent freeze-thaw cycles. |
|---|---|
| Form/Appearance | liquid |
| Expiration Date | 12 months from date of receipt. |
| Disclaimer | For research use only |
Alternative Names
−Similar Products
−Phospho-RPS6KB1 (Ser417) Rabbit Polyclonal Antibody [orb6610]
ICC, IF, IHC-Fr, IHC-P
Bovine, Equine, Gallus, Porcine
Human, Mouse, Rat
Rabbit
Polyclonal
Unconjugated
200 μl, 50 μl, 100 μlp70 S6 kinase α Polyclonal Antibody [orb1412619]
IF, IHC-P, WB
Human, Mouse, Rat
Rabbit
Polyclonal
Unconjugated
100 μlPhospho-RPS6KB1 (Ser434) Rabbit Polyclonal Antibody [orb6613]
ICC, IF, IHC-Fr, IHC-P
Bovine, Canine, Equine, Gallus, Porcine, Rabbit
Human, Mouse, Rat
Rabbit
Polyclonal
Unconjugated
100 μl, 200 μl, 50 μlp70 S6 kinase α (phospho Thr229) rabbit pAb Antibody [orb764265]
ELISA, IF, IHC, WB
Human, Mouse, Porcine, Rat
Polyclonal
Unconjugated
100 μl, 50 μlp70 S6 kinase α (phospho Thr444) rabbit pAb Antibody [orb769964]
ELISA, IF, IHC, WB
Human, Mouse, Rat
Polyclonal
Unconjugated
100 μl, 50 μl

Quality Guarantee
Explore bioreagents carefree to elevate your research. All our products are rigorously tested for performance. If a product does not perform as described on its datasheet, our scientific support team will provide expert troubleshooting, a prompt replacement, or a refund. For full details, please see our Terms & Conditions and Buying Guide. Contact us at [email protected].

HeLa cells were subjected to SDS PAGE followed by western blot with orb629612 (p70 (S6K) antibody) at dilution of 1:1200.

Immunofluorescent analysis of HepG2 cells using orb629612 (p70S6K Antibody) at dilution of 1:25 and Rhodamine-Goat anti-Rabbit IgG.

IP Result of anti-p70S6K (IP: orb629612, 3 ug; Detection: orb629612 1:1000) with HeLa cells lysate 3000 ug.

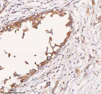
Immunohistochemistry of paraffin-embedded human breast cancer tissue slide using orb629612 (p70 (S6K) Antibody) at dilution of 1:200.
Quick Database Links
UniProt Details
−Documents Download
Request a Document
Protocol Information
RPS6KB1 Rabbit Polyclonal Antibody (orb629612)
Participating in our Biorbyt product reviews program enables you to support fellow scientists by sharing your firsthand experience with our products.
Login to Submit a Review























