You have no items in your shopping cart.
TIA1 Antibody
Description
Research Area
Images & Validation
−| Tested Applications | IHC, WB |
|---|---|
| Reactivity | Human |
Key Properties
−| Antibody Type | Recombinant Antibody |
|---|---|
| Host | Rabbit |
| Clonality | Monoclonal |
| Isotype | IgG |
| Clone No. | TIA1/1352R |
| Immunogen | Human bone marrow malignant cells from a non B, non T acute leukemia |
| Target | TIA1 |
| Source/Expression System | HEK293 cells |
| Molecular Weight | 40kDa |
| Conjugation | Unconjugated |
Storage & Handling
−| Storage | Maintain refrigerated at 2-8°C for up to 2 weeks. For long term storage store at -20°C in small aliquots to prevent freeze-thaw cycles. |
|---|---|
| Form/Appearance | 200ug/ml of Ab purified from rabbit anti-serum by Protein A. Prepared in 10mM PBS with 0.05% rAlbumin & 0.05% azide. Also available WITHOUT rAlbumin at 1.0mg/ml. |
| Expiration Date | 12 months from date of receipt. |
| Disclaimer | For research use only |
Alternative Names
−Similar Products
−TIA1 Rabbit Polyclonal Antibody [orb330155]
WB
Bovine, Equine, Guinea pig, Mouse, Rabbit, Rat
Human
Rabbit
Polyclonal
Unconjugated
100 μlTIAL1 & TIA Antibody [orb20603]
ELISA, IHC, WB
Bovine, Canine, Mouse
Human
Goat
Polyclonal
Unconjugated
100 μgRecombinant TIA-1 Antibody / T-Cell Intracellular Antigen-1 [orb2636574]
IHC-P
Human
Rabbit
Recombinant
Unconjugated
100 μg

Quality Guarantee
Explore bioreagents carefree to elevate your research. All our products are rigorously tested for performance. If a product does not perform as described on its datasheet, our scientific support team will provide expert troubleshooting, a prompt replacement, or a refund. For full details, please see our Terms & Conditions and Buying Guide. Contact us at [email protected].

Formalin-fixed, paraffin-embedded human lymph node stained with TIA-1 Recombinant Rabbit Monoclonal Antibody (TIA/1352R). HIER: Tris/EDTA, pH9.0, 45 min. 2°C: HRP-polymer, 30 min. DAB, 5 min.

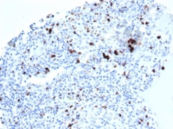
Formalin-fixed, paraffin-embedded human spleen stained with TIA-1 Recombinant Rabbit Monoclonal Antibody (TIA/1352R). HIER: Tris/EDTA, pH9.0, 45 min. 2°C: HRP-polymer, 30 min. DAB, 5 min.

Formalin-fixed, paraffin-embedded human tonsil stained with TIA-1 Recombinant Rabbit Monoclonal Antibody (TIA/1352R). HIER: Tris/EDTA, pH9.0, 45 min. 2°C: HRP-polymer, 30 min. DAB, 5 min.

IHC analysis of formalin-fixed, paraffin-embedded human brain. Negative tissue control using TIA1/1352R at 2 ug/ml in PBS for 30 min RT. HIER: Tris/EDTA, pH9.0, 45 min. 2°C: HRP-polymer, 30 min. DAB, 5 min.
Quick Database Links
UniProt Details
−Documents Download
Request a Document
Protocol Information
TIA1 Antibody (orb1410407)
Participating in our Biorbyt product reviews program enables you to support fellow scientists by sharing your firsthand experience with our products.
Login to Submit a Review
















