You have no items in your shopping cart.
Recombinant Steroidogenic Factor 1 (SF-1) Antibody
Description
Images & Validation
−| Tested Applications | IHC |
|---|---|
| Reactivity | Human, Rat |
Key Properties
−| Antibody Type | Recombinant Antibody |
|---|---|
| Host | Rabbit |
| Clonality | Monoclonal |
| Isotype | IgG |
| Clone No. | NR5A1/4368R |
| Immunogen | Recombinant fragment of human SF-1 protein (exact sequence is proprietary) |
| Target | NR5A1 |
| Source/Expression System | HEK293 cells |
| Molecular Weight | 53kDa. |
Storage & Handling
−| Storage | Maintain refrigerated at 2-8°C for up to 2 weeks. For long term storage store at -20°C in small aliquots to prevent freeze-thaw cycles. |
|---|---|
| Form/Appearance | 200ug/ml of Ab produced in HEK293 cell mammalian-based expression system. Prepared in 10mM PBS with 0.05% rAlbumin & 0.05% azide. Also available WITHOUT rAlbumin & azide at 1.0mg/ml. |
| Disclaimer | For research use only |
Alternative Names
−Similar Products
−Recombinant Steroidogenic Factor 1 (SF-1) Antibody [orb1410323]
IHC
Human, Rat
Mouse
Monoclonal
Unconjugated
100 μg (without BSA and Azide), 100 μg, 20 μgRecombinant Steroidogenic Factor 1 (SF-1) Antibody [orb2312351]
IHC
Human, Rat
Rabbit
Monoclonal
Unconjugated
100 μg (without BSA and Azide), 20 μg, 100 μgRecombinant Steroidogenic Factor 1 (SF-1) Antibody [orb2319551]
IHC
Human, Rat
Rabbit
Monoclonal
Unconjugated
100 μg (without BSA and Azide), 20 μg, 100 μgRecombinant SF-1 Antibody / Steroidogenic Factor 1 / NR5A1 [orb2635645]
IHC-P
Human
Rabbit
Recombinant
Unconjugated
100 μgRecombinant SF-1 Antibody / Steroidogenic Factor 1 / NR5A1 [orb2635646]
IHC-P
Human
Rabbit
Recombinant
Unconjugated
20 μg, 100 μg

Quality Guarantee
Explore bioreagents carefree to elevate your research. All our products are rigorously tested for performance. If a product does not perform as described on its datasheet, our scientific support team will provide expert troubleshooting, a prompt replacement, or a refund. For full details, please see our Terms & Conditions and Buying Guide. Contact us at [email protected].

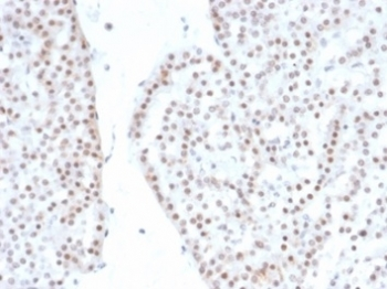
Formalin-fixed, paraffin-embedded human adrenal cortical tumor stained with SF-1 Recombinant Rabbit Monoclonal Antibody (NR5A1/4368R). HIER: Tris/EDTA, pH9.0, 45 min. 2°C: HRP-polymer, 30 min. DAB, 5 min.

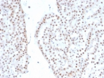
Formalin-fixed, paraffin-embedded human renal oncocytoma stained with SF-1 Recombinant Rabbit Monoclonal Antibody (NR5A1/4368R). HIER: Tris/EDTA, pH9.0, 45 min. 2°C: HRP-polymer, 30 min. DAB, 5 min.
Quick Database Links
UniProt Details
−Documents Download
Request a Document
Recombinant Steroidogenic Factor 1 (SF-1) Antibody (orb1410324)
Participating in our Biorbyt product reviews program enables you to support fellow scientists by sharing your firsthand experience with our products.
Login to Submit a Review





