You have no items in your shopping cart.
Description
Research Area
Images & Validation
−| Tested Applications | ELISA, IHC, WB |
|---|---|
| Reactivity | Human |
Key Properties
−| Antibody Type | Recombinant Antibody |
|---|---|
| Host | Rabbit |
| Clonality | Monoclonal |
| Isotype | IgG |
| Clone No. | C3e/4652R |
| Immunogen | Synthetic peptide from human CD3e protein (around aa 20-40) (exact sequence is proprietary) |
| Target | CD3E |
| Source/Expression System | HEK293 cells |
| Molecular Weight | 20kDa |
| Conjugation | Unconjugated |
Storage & Handling
−| Storage | Maintain refrigerated at 2-8°C for up to 2 weeks. For long term storage store at -20°C in small aliquots to prevent freeze-thaw cycles. |
|---|---|
| Form/Appearance | 200ug/ml of Ab purified from Bioreactor Concentrate by Protein A/G. Prepared in 10mM PBS with 0.05% rAlbumin & 0.05% azide. Also available WITHOUT rAlbumin & azide at 1.0mg/ml. |
| Expiration Date | 12 months from date of receipt. |
| Disclaimer | For research use only |
Alternative Names
−Similar Products
−CD3 Rabbit Polyclonal Antibody [orb348965]
IHC-P, WB
Human, Mouse, Rat
Rabbit
Polyclonal
Unconjugated
100 μgCD3 epsilon/CD3E Rabbit Polyclonal Antibody [orb196263]
ICC, IF, IHC, IHC-Fr, WB
Gallus, Human, Mouse, Rat
Rabbit
Polyclonal
Unconjugated
100 μgCD3E Rabbit Polyclonal Antibody [orb378203]
IHC-P
Human, Mouse, Rat
Rabbit
Polyclonal
Unconjugated
100 μgCD3E Rabbit Polyclonal Antibody [orb389336]
ICC, IF, IHC-P, WB
Guinea pig, Human, Mouse, Rat
Rabbit
Polyclonal
Unconjugated
100 μg

Quality Guarantee
Explore bioreagents carefree to elevate your research. All our products are rigorously tested for performance. If a product does not perform as described on its datasheet, our scientific support team will provide expert troubleshooting, a prompt replacement, or a refund. For full details, please see our Terms & Conditions and Buying Guide. Contact us at [email protected].

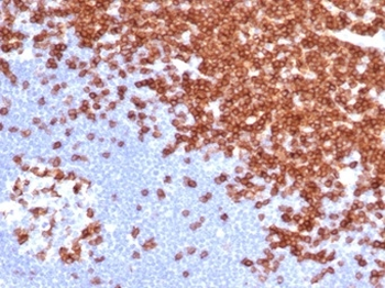
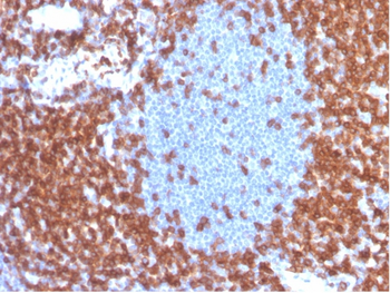
Formalin-fixed, paraffin-embedded human lymph node stained with CD3e Recombinant Rabbit Monoclonal Antibody (C3e/4652R).

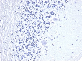
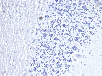
IHC analysis of formalin-fixed, paraffin-embedded human brain. Negative tissue control using C3e/4652R at 2 ug/ml in PBS for 30 min RT. HIER: Tris/EDTA, pH9.0, 45 min. 2°C: HRP-polymer, 30 min. DAB, 5 min.

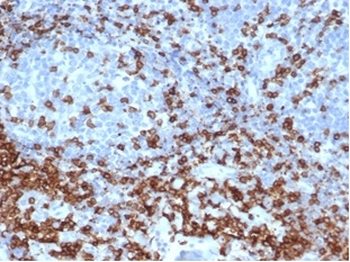
IHC analysis of formalin-fixed, paraffin-embedded human tonsil. Strong cell surface staining using C3e/4652R at 2 ug/ml in PBS for 30 min RT. HIER: Tris/EDTA, pH9.0, 45 min. 2°C: HRP-polymer, 30 min. DAB, 5 min.

Western blot analysis of Jurkat cell lysate using CD3e Recombinant Rabbit Monoclonal Antibody (C3e/4652R).
Quick Database Links
UniProt Details
−Documents Download
Request a Document
Protocol Information
CD3E Antibody (orb1410314)
Participating in our Biorbyt product reviews program enables you to support fellow scientists by sharing your firsthand experience with our products.
Login to Submit a Review





































