You have no items in your shopping cart.
Recombinant CD3 epsilon Antibody
Description
Images & Validation
−| Tested Applications | IHC-P, WB |
|---|---|
| Dilution Range | Immunohistochemistry (FFPE): 1-2ug/ml,Western blot: 1-2ug/ml |
| Reactivity | Human |
| Application Notes |
Key Properties
−| Antibody Type | Primary Antibody |
|---|---|
| Host | Rabbit |
| Clonality | Recombinant |
| Isotype | Rabbit IgG, kappa |
| Clone No. | C3e/4653R |
| Immunogen | A portion of amino acids 100-200 was used as the immunogen for the recombinant CD3 epsilon antibody. |
| Purification | Protein A/G affinity |
| Conjugation | Unconjugated |
Storage & Handling
−| Storage | Maintain refrigerated at 2-8°C for up to 2 weeks. For long term storage store at -20°C in small aliquots to prevent freeze-thaw cycles. |
|---|---|
| Buffer/Preservatives | 1 mg/ml in 1X PBS; rAlbumin free, sodium azide free |
| Expiration Date | 12 months from date of receipt. |
| Disclaimer | For research use only |
Similar Products
−CD3E Rabbit Recombinant Monoclonal Antibody [orb1519964]
FC, IF, IHC, IP, WB
Human
Rabbit
Recombinant
Unconjugated
100 μl, 10 μlCD3E Recombinant Rabbit Monoclonal Antibody [orb1151965]
IF, IHC-Fr, IHC-P, WB
Mouse, Rat
Human, Mouse, Rat
Rabbit
Recombinant
Unconjugated
25 μl, 100 μl, 50 μlCD3 epsilon Recombinant Rabbit Monoclonal Antibody [orb704405]
IF, IHC-Fr, IHC-P, WB
Human
Rabbit
Recombinant
Unconjugated
50 μl, 100 μl

Quality Guarantee
Explore bioreagents carefree to elevate your research. All our products are rigorously tested for performance. If a product does not perform as described on its datasheet, our scientific support team will provide expert troubleshooting, a prompt replacement, or a refund. For full details, please see our Terms & Conditions and Buying Guide. Contact us at [email protected].

Western blot testing of human Jurkat cell lysate using recombinant CD3 epsilon antibody (clone C3e/4653R). Predicted molecular weight ~23 kDa.

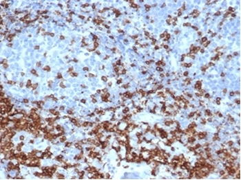
IHC staining of FFPE human tonsil tissue with recombinant CD3e antibody (clone CD3e/4653R) at 2 ug/ml. HIER: boil tissue sections in pH9 10mM Tris with 1mM EDTA for 20 min and allow to cool before testing.

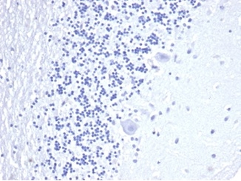
Negative control: IHC staining of FFPE human brain tissue using recombinant CD3 epsilon antibody (clone C3e/4653R) at 2 ug/ml in PBS for 30 min RT. HIER: boil tissue sections in pH9 10mM Tris with 1mM EDTA for 20 min and allow to cool before testing.
Quick Database Links
UniProt Details
−Documents Download
Request a Document
Protocol Information
Recombinant CD3 epsilon Antibody (orb2635693)
Participating in our Biorbyt product reviews program enables you to support fellow scientists by sharing your firsthand experience with our products.
Login to Submit a Review






















