You have no items in your shopping cart.
Description
Research Area
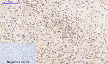
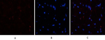
Images & Validation
−| Tested Applications | IF, IHC-P, WB |
|---|---|
| Dilution Range | IF: IF: 1:50-200 IHC-p: 100-300.WB 1:500-2000, ELISA 1:10000-20000 |
| Reactivity | Human, Mouse, Rat |
Key Properties
−| Host | Rabbit |
|---|---|
| Clonality | Polyclonal |
| Target | PTEN |
| Conjugation | Unconjugated |
Storage & Handling
−| Storage | Maintain refrigerated at 2-8°C for up to 2 weeks. For long term storage store at -20°C in small aliquots to prevent freeze-thaw cycles |
|---|---|
| Expiration Date | 12 months from date of receipt. |
| Disclaimer | For research use only |
Alternative Names
−Similar Products
−Phospho-PTEN (Ser380 + Thr382 + Thr383) Rabbit Polyclonal Antibody [orb6818]
FC, ICC, IF, IHC-Fr, IHC-P, WB
Bovine, Canine, Equine, Gallus, Porcine
Human, Mouse, Rat
Rabbit
Polyclonal
Unconjugated
50 μl, 100 μl, 200 μlPTEN Rabbit Polyclonal Antibody [orb11319]
WB
Human, Porcine
Mouse, Rat
Rabbit
Polyclonal
Unconjugated
200 μl, 50 μl, 100 μlPTEN (phospho Ser380/T382/T383) rabbit pAb Antibody [orb769757]
ELISA, IF, IHC, WB
Human, Mouse, Rat
Polyclonal
Unconjugated
100 μlPhospho-PTEN (Ser385) Rabbit Polyclonal Antibody [orb499593]
FC, ICC, IF, IHC-Fr, IHC-P
Mouse
Human, Rat
Rabbit
Polyclonal
Unconjugated
50 μl, 100 μl, 200 μl

Quality Guarantee
Explore bioreagents carefree to elevate your research. All our products are rigorously tested for performance. If a product does not perform as described on its datasheet, our scientific support team will provide expert troubleshooting, a prompt replacement, or a refund. For full details, please see our Terms & Conditions and Buying Guide. Contact us at [email protected].

IF analysis of orb1411021.

IF analysis of orb1411021.

IF analysis of orb1411021.

IF analysis of orb1411021.

IF analysis of orb1411021.

IF analysis of orb1411021.

WB analysis of orb1411021.
Quick Database Links
UniProt Details
−Documents Download
Request a Document
Protocol Information
PTEN Polyclonal Antibody (orb1411021)
Participating in our Biorbyt product reviews program enables you to support fellow scientists by sharing your firsthand experience with our products.
Login to Submit a Review































