You have no items in your shopping cart.
PIGY Antibody
Description
Research Area
Images & Validation
−| Tested Applications | ELISA, IF, IHC-P, WB |
|---|---|
| Reactivity | Human, Mouse |
| Predicted Reactivity | Bovine |
| Application Notes |
Key Properties
−| Antibody Type | Primary Antibody |
|---|---|
| Host | Rabbit |
| Clonality | Polyclonal |
| Isotype | IgG |
| Immunogen | PIG-Y antibody was raised against a 16 amino acid synthetic peptide near the carboxy terminus of human PIG-Y.The immunogen is located within the last 50 amino acids of PIG-Y. |
| Target | PIGY |
| Molecular Weight | Predicted: 8 kDa Observed: 9 kDa |
| Purification | PIG-Y Antibody is affinity chromatography purified via peptide column. |
| Conjugation | Unconjugated |
Storage & Handling
−| Storage | Maintain refrigerated at 2-8°C for up to 2 weeks. For long term storage store at -20°C in small aliquots to prevent freeze-thaw cycles. |
|---|---|
| Form/Appearance | Liquid |
| Buffer/Preservatives | PIG-Y Antibody is supplied in PBS containing 0.02% sodium azide. |
| Concentration | 1 mg/mL |
| Disclaimer | For research use only |
Alternative Names
−Similar Products
−PIG-Y rabbit pAb Antibody [orb770669]
ELISA, IF, IHC
Human, Mouse
Polyclonal
Unconjugated
100 μl, 50 μlPIGY Antibody [orb1239228]
ELISA, IF, IHC-P, WB
Bovine, Rat
Human, Mouse
Rabbit
Polyclonal
Unconjugated
0.02 mg, 0.1 mgPIGY Antibody [orb665599]
IHC, WB
Human, Mouse, Rat
Rabbit
Polyclonal
Unconjugated
30 μl, 100 μl, 200 μl, 50 μl

Quality Guarantee
Explore bioreagents carefree to elevate your research. All our products are rigorously tested for performance. If a product does not perform as described on its datasheet, our scientific support team will provide expert troubleshooting, a prompt replacement, or a refund. For full details, please see our Terms & Conditions and Buying Guide. Contact us at [email protected].

Western blot analysis of PIG-Y in human skeletal muscle tissue lysate with PIG-Y antibody at 5 µg/mL.

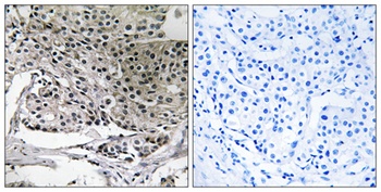
Immunohistochemistry of PIGY in human spleen tissue with PIGY antibody at 2.5 µg/mL.

Immunofluorescence of PIGY in human spleen tissue with PIGY1 antibody at 20 µg/mL.
Documents Download
Request a Document
Protocol Information
PIGY Antibody (orb1239229)
Participating in our Biorbyt product reviews program enables you to support fellow scientists by sharing your firsthand experience with our products.
Login to Submit a Review






