You have no items in your shopping cart.
OCT-2 Antibody / POU2F2
Description
Images & Validation
−| Tested Applications | IHC-P |
|---|---|
| Dilution Range | Western blot: 1-2ug/ml,Immunohistochemistry (FFPE): 1-2ug/ml for 30 min at RT |
| Reactivity | Human |
| Application Notes |
Key Properties
−| Antibody Type | Primary Antibody |
|---|---|
| Host | Mouse |
| Clonality | Monoclonal |
| Isotype | Mouse IgG1, kappa |
| Clone No. | OCT2/2137 |
| Immunogen | A portion of amino acids 112-297 from the human protein was used as the immunogen for the OCT-2 antibody. |
| Purification | Protein G affinity |
| Conjugation | Unconjugated |
Storage & Handling
−| Storage | Maintain refrigerated at 2-8°C for up to 2 weeks. For long term storage store at -20°C in small aliquots to prevent freeze-thaw cycles. |
|---|---|
| Buffer/Preservatives | 0.2 mg/ml in 1X PBS with 0.1 mg/ml rAlbumin and 0.05% sodium azide |
| Expiration Date | 12 months from date of receipt. |
| Disclaimer | For research use only |
Similar Products
−
Quality Guarantee
Explore bioreagents carefree to elevate your research. All our products are rigorously tested for performance. If a product does not perform as described on its datasheet, our scientific support team will provide expert troubleshooting, a prompt replacement, or a refund. For full details, please see our Terms & Conditions and Buying Guide. Contact us at [email protected].

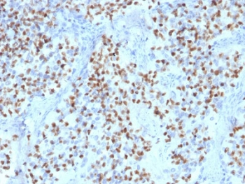
IHC testing of FFPE human lymph node with OCT-2 antibody (clone OCT2/2137). HIER: boil tissue sections in pH9 10mM Tris with 1mM EDTA for 10-20 min followed by cooling at RT for 20 min.

IHC testing of FFPE human tonsil with OCT-2 antibody (clone OCT2/2137). HIER: boil tissue sections in pH9 10mM Tris with 1mM EDTA for 10-20 min followed by cooling at RT for 20 min.

Western blot testing of human Ramos lysate with OCT-2 antibody (clone OCT2/2137). Expected molecular weight: isoforms from 43~62 kDa.

Western blot testing of 1) partial recombinant protein and 2) human Daudi lysate with OCT-2 antibody (clone OCT2/2137). Expected molecular weight: isoforms from 43~62 kDa.

Analysis of HuProt (TM) microarray containing more than 19, 000 full-length human proteins using OCT-2 antibody (clone OCT2/2137). These results demonstrate the foremost specificity of the OCT2/2137 mAb. Z- and S- score: The Z-score represents the strength of a signal that an antibody (in combination with a fluorescently-tagged anti-IgG secondary Ab) produces when binding to a particular protein on the HuProt (TM) array. Z-scores are described in units of standard deviations (SD's) above the mean value of all signals generated on that array. If the targets on the HuProt (TM) are arranged in descending order of the Z-score, the S-score is the difference (also in units of SD's) between the Z-scores. The S-score therefore represents the relative target specificity of an Ab to its intended target.

SDS-PAGE analysis of purified, BSA-free OCT-2 antibody (clone OCT2/2137) as confirmation of integrity and purity.
Quick Database Links
UniProt Details
−Documents Download
Request a Document
OCT-2 Antibody / POU2F2 (orb639519)
Participating in our Biorbyt product reviews program enables you to support fellow scientists by sharing your firsthand experience with our products.
Login to Submit a Review
















