You have no items in your shopping cart.
MYOD1 Antibody
Description
Research Area
Images & Validation
−| Tested Applications | FC, IF, IHC |
|---|---|
| Reactivity | Gallus, Human, Mouse, Rat |
Key Properties
−| Host | Mouse |
|---|---|
| Clonality | Monoclonal |
| Isotype | IgG1 |
| Clone No. | 5.8A |
| Immunogen | Recombinant mouse MyoD1 protein |
| Target | MYOD1 |
| Source/Expression System | Bioreactor |
| Molecular Weight | 45kDa |
| Purification | Protein G |
| Conjugation | Unconjugated |
Storage & Handling
−| Storage | Maintain refrigerated at 2-8°C for up to 2 weeks. For long term storage store at -20°C in small aliquots to prevent freeze-thaw cycles. |
|---|---|
| Form/Appearance | 200ug/ml of Ab purified from Bioreactor Concentrate by Protein A/G. Prepared in 10mM PBS with 0.05% rAlbumin & 0.05% azide. Also available WITHOUT rAlbumin at 1.0mg/ml. |
| Expiration Date | 12 months from date of receipt. |
| Disclaimer | For research use only |
Alternative Names
−Similar Products
−Mouse Human MyoD1 Antibody [orb108820]
ELISA, ICC, IF, IHC-Fr, IHC-P, IP, WB
Human, Mouse, Rat
Mouse
Monoclonal
Unconjugated
100 μgHuman Myogenic Differentiation (MyoD) ELISA Kit [orb776926]
Human
0.16-10 ng/mL
0.061 ng/mL
48 T, 96 TMyoD rabbit pAb Antibody [orb766941]
IHC, WB
Gallus, Human, Mouse, Rat
Polyclonal
Unconjugated
100 μl, 50 μlMyoD1/Myf3 Rabbit Polyclonal Antibody [orb704483]
WB
Bovine, Canine, Equine, Human, Porcine, Sheep
Mouse, Rat
Rabbit
Polyclonal
Unconjugated
50 μl, 100 μl, 200 μl

Quality Guarantee
Explore bioreagents carefree to elevate your research. All our products are rigorously tested for performance. If a product does not perform as described on its datasheet, our scientific support team will provide expert troubleshooting, a prompt replacement, or a refund. For full details, please see our Terms & Conditions and Buying Guide. Contact us at [email protected].

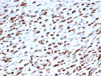
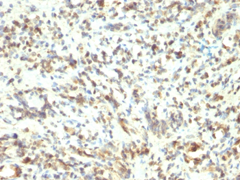
Formalin-fixed, paraffin-embedded human rhabdomyosarcoma stained with MyoD1 Mouse Monoclonal Antibody (5.8).

Formalin-fixed, paraffin-embedded human rhabdomyosarcoma stained with MyoD1 Mouse Monoclonal Antibody (5.8).

SDS-PAGE Analysis of Purified MyoD1 Mouse Monoclonal Antibody (5.8A). Confirmation of Integrity and Purity of Antibody.
Quick Database Links
UniProt Details
−Documents Download
Request a Document
Protocol Information
MYOD1 Antibody (orb1410576)
Participating in our Biorbyt product reviews program enables you to support fellow scientists by sharing your firsthand experience with our products.
Login to Submit a Review







