You have no items in your shopping cart.
You have no items in your shopping cart.
| Catalog Number | orb1410201 |
|---|---|
| Category | Antibodies |
| Description | Mouse monoclonal antibody to MCP2 |
| Target | CCL8 |
| Clonality | Monoclonal |
| Species/Host | Mouse |
| Isotype | IgG2c |
| Conjugation | Unconjugated |
| Reactivity | Human |
| Form/Appearance | 200ug/ml of Ab purified from Bioreactor Concentrate by Protein A/G. Prepared in 10mM PBS with 0.05% rAlbumin & 0.05% azide. Also available WITHOUT rAlbumin & azide at 1.0mg/ml. |
| Purification | Protein A/G |
| Immunogen | Human recombinant MCP2 / CCL8 protein fragment (around aa1-99) (exact sequence is proprietary) |
| UniProt ID | P80075 |
| MW | 11kDa |
| Tested applications | IHC |
| Clone Number | CCL8/3683 |
| Expression System | Bioreactor |
| Storage | Maintain refrigerated at 2-8°C for up to 2 weeks. For long term storage store at -20°C in small aliquots to prevent freeze-thaw cycles. |
| Alternative names | HC14; MCP2; MCP-2; SCYA8; SCYA10 |
| Research Area | Cardiovascular Research, Signal Transduction |
| Note | For research use only |
| Expiration Date | 12 months from date of receipt. |

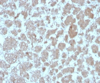
Formalin-fixed, paraffin-embedded human adrenal gland stained with MCP2 / CCL8 Mouse Monoclonal Antibody (CCL8/3683). HIER: Tris/EDTA, pH9.0, 45 min. 2°C: HRP-polymer, 30 min. DAB, 5 min.

SDS-PAGE Analysis of Purified MCP2 / CCL8 Mouse Monoclonal Antibody (CCL8/3683). Confirmation of Purity and Integrity of Antibody.
IHC, WB | |
Human | |
Mouse | |
Monoclonal | |
Unconjugated |
IHC | |
Human | |
Mouse | |
Monoclonal | |
Unconjugated |
IHC | |
Human | |
Mouse | |
Monoclonal | |
Unconjugated |
Participating in our Biorbyt product reviews program enables you to support fellow scientists by sharing your firsthand experience with our products.
Login to Submit a Review