You have no items in your shopping cart.
LILRB2 Antibody
Description
Research Area
Images & Validation
−| Tested Applications | ELISA, IF, WB |
|---|---|
| Dilution Range | WB:1:500-1:5000, IF:1:20-1:200 |
| Reactivity | Human |
Key Properties
−| Host | Rabbit |
|---|---|
| Clonality | Polyclonal |
| Isotype | IgG |
| Immunogen | Recombinant Human Leukocyte immunoglobulin-like receptor subfamily B member 2 protein (406-563AA) |
| Target | LILRB2 |
| Purification | >95%, Protein G purified |
| Conjugation | Unconjugated |
Storage & Handling
−| Storage | Maintain refrigerated at 2-8°C for up to 2 weeks. For long term storage store at -20°C in small aliquots to prevent freeze-thaw cycles. |
|---|---|
| Form/Appearance | Liquid |
| Buffer/Preservatives | Preservative: 0.03% Proclin 300. Constituents: 50% Glycerol |
| Expiration Date | 12 months from date of receipt. |
| Disclaimer | For research use only |
Alternative Names
−Similar Products
−LILRB2/ILT4/CD85d Antibody [orb1806153]
ELISA, FA, FACS, In vivo
Human
Monoclonal
Unconjugated
1 mg, 100 μgCD85d rabbit pAb Antibody [orb767200]
ELISA, WB
Human, Mouse, Rat
Polyclonal
Unconjugated
50 μl, 100 μlLILRB2 Rabbit Polyclonal Antibody [orb157797]
WB
Human
Mouse
Rabbit
Polyclonal
Unconjugated
50 μl, 100 μl, 200 μl

Quality Guarantee
Explore bioreagents carefree to elevate your research. All our products are rigorously tested for performance. If a product does not perform as described on its datasheet, our scientific support team will provide expert troubleshooting, a prompt replacement, or a refund. For full details, please see our Terms & Conditions and Buying Guide. Contact us at [email protected].

Immunofluorescence staining of HepG2 cells using LILRB2 antibody

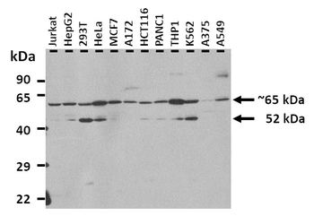
Western blot aanalysis of 293T whole cell lysate, Jurkat whole cell lysateusing LILRB2 antibody
Quick Database Links
UniProt Details
−Documents Download
Request a Document
Protocol Information
LILRB2 Antibody (orb518100)
Participating in our Biorbyt product reviews program enables you to support fellow scientists by sharing your firsthand experience with our products.
Login to Submit a Review











