You have no items in your shopping cart.
Ku80 Antibody / XRCC5
Description
Images & Validation
−| Tested Applications | IHC-P, WB |
|---|---|
| Dilution range | Western blot: 1-2ug/ml,Immunohistochemistry (FFPE): 1-2ug/ml for 30 min at RT |
| Reactivity | Human |
Key Properties
−| Antibody Type | Primary Antibody |
|---|---|
| Host | Mouse |
| Clonality | Monoclonal |
| Isotype | Mouse IgG1 + IgG2b, kappa |
| Clone No. | XRCC5/7316 |
| Immunogen | A recombinant partial protein sequence (within amino acids 300-500) from the human protein was used as the immunogen for the XRCC5 antibody. |
| Conjugation | Unconjugated |
Storage & Handling
−| Storage | Maintain refrigerated at 2-8°C for up to 2 weeks. For long term storage store at -20°C in small aliquots to prevent freeze-thaw cycles. |
|---|---|
| Disclaimer | For research use only |
Similar Products
−
Quality Guarantee
Explore bioreagents carefree to elevate your research. All our products are rigorously tested for performance. If a product does not perform as described on its datasheet, our scientific support team will provide expert troubleshooting, a prompt replacement, or a refund. For full details, please see our Terms & Conditions and Buying Guide. Contact us at [email protected].

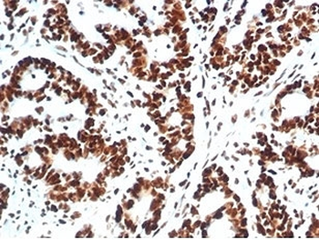
IHC staining of FFPE human colon tissue with XRCC5 / Ku86 / Ku80 antibody (clone XRCC5/7316). HIER: boil tissue sections in pH9 10 mM Tris with 1 mM EDTA for 20 min and allow to cool before testing.

SDS-PAGE analysis of purified, BSA-free XRCC5 / Ku86 / Ku80 antibody (clone XRCC5/7316) as confirmation of integrity and purity.

Western blot testing of human MOLT-4 cell lysates using XRCC5 / Ku86 / Ku80 antibody (clone XRCC5/7316).

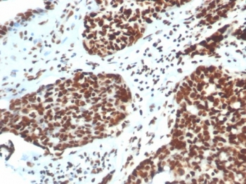
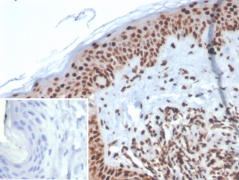
IHC staining of FFPE human skin tissue with XRCC5 / Ku86 / Ku80 antibody (clone XRCC5/7316). HIER: boil tissue sections in pH9 10 mM Tris with 1 mM EDTA for 20 min and allow to cool before testing.

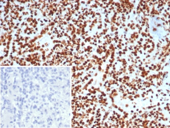
IHC staining of FFPE human lymph node tissue with XRCC5 / Ku86 / Ku80 antibody (clone XRCC5/7316). HIER: boil tissue sections in pH9 10 mM Tris with 1 mM EDTA for 20 min and allow to cool before testing.
Quick Database Links
UniProt Details
−Documents Download
Request a Document
Protocol Information
Ku80 Antibody / XRCC5 (orb1823783)
Participating in our Biorbyt product reviews program enables you to support fellow scientists by sharing your firsthand experience with our products.
Login to Submit a Review


















