You have no items in your shopping cart.
IRF5 Antibody
Description
Research Area
Images & Validation
−| Tested Applications | ELISA, IF, IHC, WB |
|---|---|
| Dilution Range | WB:1:500-5000, IHC-P:1:20-200, IF:1:50-200 |
| Reactivity | Human, Mouse |
Key Properties
−| Host | Rabbit |
|---|---|
| Clonality | Polyclonal |
| Isotype | IgG |
| Immunogen | Recombinant Human Interferon regulatory factor 5 protein (214-395AA) |
| Target | IRF5 |
| Purification | >95%, Protein G purified |
| Conjugation | Unconjugated |
Storage & Handling
−| Storage | Maintain refrigerated at 2-8°C for up to 2 weeks. For long term storage store at -20°C in small aliquots to prevent freeze-thaw cycles. |
|---|---|
| Form/Appearance | Liquid |
| Buffer/Preservatives | Preservative: 0.03% Proclin 300. Constituents: 50% Glycerol |
| Expiration Date | 12 months from date of receipt. |
| Disclaimer | For research use only |
Alternative Names
−Similar Products
−IRF5 Recombinant Rabbit Monoclonal Antibody [orb559091]
FC, ICC, IF, IHC-Fr, IHC-P, WB
Mouse, Rat
Human, Mouse, Rat
Rabbit
Recombinant
Unconjugated
100 μl, 50 μlHuman Interferon Regulatory Factor 5 (IRF5) ELISA Kit [orb775942]
Human
0.16-10 ng/mL
0.052 ng/mL
96 T, 48 TMouse Interferon Regulatory Factor 5 (IRF5) ELISA Kit [orb778563]
Mouse
0.16-10 ng/mL
0.046 ng/mL
48 T, 96 TIRF5 Rabbit Polyclonal Antibody [orb315154]
IHC, WB
Human, Mouse, Rat
Rabbit
Polyclonal
Unconjugated
100 μg

Quality Guarantee
Explore bioreagents carefree to elevate your research. All our products are rigorously tested for performance. If a product does not perform as described on its datasheet, our scientific support team will provide expert troubleshooting, a prompt replacement, or a refund. For full details, please see our Terms & Conditions and Buying Guide. Contact us at [email protected].

Immunofluorescence analysis of Hela cells using IRF5 antibody

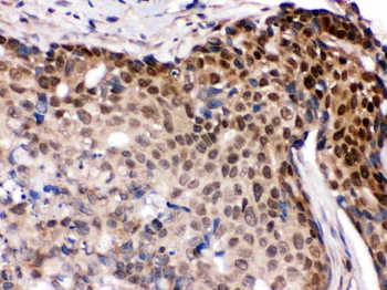
Immunohistochemical staining of human tonsil tissue using IRF5 antibody

Western blot analysis of A549 whole cell lysate(lane 1), Hela whole cell lysate(lane 2), NIH/3T3 whole cell lysate(lane 3), SH-SY5Y whole cell lysate(lane 4) using IRF5 antibody
Quick Database Links
UniProt Details
−Documents Download
Request a Document
Protocol Information
IRF5 Antibody (orb41921)
Participating in our Biorbyt product reviews program enables you to support fellow scientists by sharing your firsthand experience with our products.
Login to Submit a Review
















