You have no items in your shopping cart.
Description
Research Area
Images & Validation
−| Tested Applications | IF, IHC, WB |
|---|---|
| Reactivity | Human, Mouse, Rat |
| Application Notes |
Key Properties
−| Antibody Type | Primary Antibody |
|---|---|
| Host | Rabbit |
| Clonality | Polyclonal |
| Isotype | IgG |
| Immunogen | Recombinant fusion protein containing a sequence corresponding to amino acids 2327-2491 of human IGF2R (NP_000867.2). |
| Target | IGF2R |
| Molecular Weight | Observed: 310kDa |
| Purification | Affinity purification |
| Conjugation | Unconjugated |
Storage & Handling
−| Storage | Maintain refrigerated at 2-8°C for up to 2 weeks. For long term storage store at -20°C in small aliquots to prevent freeze-thaw cycles. |
|---|---|
| Form/Appearance | Liquid |
| Buffer/Preservatives | PBS with 0.02% sodium azide, 50% glycerol, pH 7.3. |
| Concentration | batch dependent |
| Expiration Date | 12 months from date of receipt. |
| Disclaimer | For research use only |
Alternative Names
−Similar Products
−Mannose 6 Phosphate Receptor/IGF2R Rabbit Polyclonal Antibody [orb413019]
ELISA, FC, ICC, IF, IHC, WB
Human, Mouse, Rat
Rabbit
Polyclonal
Unconjugated
100 μgHuman Insulin Like Growth Factor 2 Receptor (IGF2R) ELISA Kit [orb775992]
Human
0.63-40 ng/mL
0.224 ng/mL
48 T, 96 TIGF2R Mouse Monoclonal Antibody [orb763094]
FC, ICC, IF, IHC, WB
Human
Mouse
Monoclonal
Unconjugated
100 μgIGF2R/M6PR Rabbit Polyclonal Antibody [orb100167]
FC, IF, IHC-Fr, IHC-P
Bovine, Canine, Equine, Gallus, Porcine, Rabbit, Rat
Human, Mouse
Rabbit
Polyclonal
Unconjugated
50 μl, 200 μl, 100 μl

Quality Guarantee
Explore bioreagents carefree to elevate your research. All our products are rigorously tested for performance. If a product does not perform as described on its datasheet, our scientific support team will provide expert troubleshooting, a prompt replacement, or a refund. For full details, please see our Terms & Conditions and Buying Guide. Contact us at [email protected].

Western blot analysis of extracts of HeLa cells, using IGF2R antibody (orb1260633) at 1:3000 dilution. Secondary antibody: HRP Goat Anti-Rabbit IgG (H+L) at 1:10000 dilution. Lysates/proteins: 25 ug per lane. Blocking buffer: 3% nonfat dry milk in TBST. Detection: ECL Enhanced Kit. Exposure time: 90s.

Immunohistochemistry of paraffin-embedded human placenta using IGF2R antibody (orb1260633) at dilution of 1:100 (40x lens).

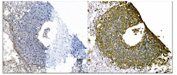
Immunohistochemistry of paraffin-embedded human gastric cancer using IGF2R antibody (orb1260633) at dilution of 1:100 (40x lens).

Immunofluorescence analysis of C6 cells using IGF2R antibody (orb1260633) at dilution of 1:100. Blue: DAPI for nuclear staining.

Immunofluorescence analysis of HeLa cells using IGF2R antibody (orb1260633) at dilution of 1:100. Blue: DAPI for nuclear staining.

Immunofluorescence analysis of NIH/3T3 cells using IGF2R antibody (orb1260633) at dilution of 1:100. Blue: DAPI for nuclear staining.
Quick Database Links
UniProt Details
−Documents Download
Request a Document
Protocol Information
IGF2R Antibody (orb1260633)
Participating in our Biorbyt product reviews program enables you to support fellow scientists by sharing your firsthand experience with our products.
Login to Submit a Review



















