You have no items in your shopping cart.
HTR1D Antibody
Description
Images & Validation
−| Tested Applications | ELISA, IHC, WB |
|---|---|
| Dilution range | WB: 1:500-1:2000, IHC-P: 1: 100-1: 300, ELISA: 1:10000 |
| Reactivity | Human, Mouse, Rat |
Key Properties
−| Host | Rabbit |
|---|---|
| Clonality | Polyclonal |
| Isotype | IgG |
| Immunogen | Synthesized peptide derived from the Internal region of Human SR-1D. at AA rangle: 120-200 |
| Target | HTR1D |
| Purification | The antibody was affinity-purified from rabbit antiserum by affinity-chromatography using epitope-specific immunogen. |
Storage & Handling
−| Storage | Maintain refrigerated at 2-8°C for up to 2 weeks. For long term storage store at -20°C in small aliquots to prevent freeze-thaw cycles. |
|---|---|
| Form/Appearance | Liquid |
| Buffer/Preservatives | Liquid in PBS containing 50% glycerol, 0.5% rAlbumin and 0.02% sodium azide. |
| Disclaimer | For research use only |
Alternative Names
−Similar Products
−5HT1D Receptor Rabbit Polyclonal Antibody [orb155528]
IF, IHC-Fr, IHC-P, WB
Human, Rabbit
Mouse, Rat
Rabbit
Polyclonal
Unconjugated
200 μl, 50 μl, 100 μlHTR1D/5-HT1D Receptor Antibody [orb1534309]
IHC, IHC-P
Human, Porcine
Rabbit
Polyclonal
Unconjugated
50 μgHTR1D/5-HT1D Receptor Antibody [orb1534310]
IHC, IHC-P
Human, Monkey
Rabbit
Polyclonal
Unconjugated
50 μgHTR1D/5-HT1D Receptor Antibody [orb1534303]
IHC, IHC-P
Human, Monkey
Rabbit
Polyclonal
Unconjugated
50 μg

Quality Guarantee
Explore bioreagents carefree to elevate your research. All our products are rigorously tested for performance. If a product does not perform as described on its datasheet, our scientific support team will provide expert troubleshooting, a prompt replacement, or a refund. For full details, please see our Terms & Conditions and Buying Guide. Contact us at [email protected].

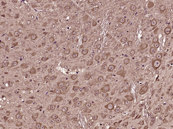
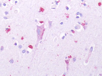
Immunohistochemical staining of human-brain using HTR1D antibody

Western blot analysis of HEPG2 823 293T AD293 HELA using HTR1D antibody
Quick Database Links
UniProt Details
−Documents Download
Request a Document
Protocol Information
HTR1D Antibody (orb676240)
Participating in our Biorbyt product reviews program enables you to support fellow scientists by sharing your firsthand experience with our products.
Login to Submit a Review





