You have no items in your shopping cart.
HSPA9 Antibody
Description
Research Area
Images & Validation
−| Tested Applications | ELISA, FC, IF, IHC, IP, WB |
|---|---|
| Dilution range | WB: 1:1000-1:4000; IP: 1:1000-1:4000; IHC: 1:20-1:200; IF: 1:10-1:100 |
| Reactivity | Human, Mouse, Rat |
Key Properties
−| Antibody Type | Primary Antibody |
|---|---|
| Host | Rabbit |
| Clonality | Polyclonal |
| Isotype | IgG |
| Immunogen | heat shock 70kDa protein 9(mortalin) |
| Target | HSPA9 |
| Molecular Weight | 74 kDa |
| Purity | ≥95% as determined by SDS-PAGE |
| Purification | Immunogen affinity purified |
| Conjugation | Unconjugated |
Storage & Handling
−| Storage | Maintain refrigerated at 2-8°C for up to 2 weeks. For long term storage store at -20°C in small aliquots to prevent freeze-thaw cycles. |
|---|---|
| Form/Appearance | liquid |
| Disclaimer | For research use only |
Alternative Names
−Similar Products
−GRP75 Rabbit Polyclonal Antibody [orb10746]
IF, IHC-Fr, IHC-P, WB
Bovine, Canine, Equine, Porcine, Rabbit
Human, Mouse, Rat
Rabbit
Polyclonal
Unconjugated
50 μl, 100 μl, 200 μlGrp75 Antibody (monoclonal, 4I9) [orb865658]
FC, ICC, IF, IHC, WB
Human, Mouse, Rat
Mouse
Monoclonal
Unconjugated
100 μgHSPA9 Rabbit Polyclonal Antibody [orb573591]
IHC, IP, WB
Bovine, Canine, Equine, Guinea pig, Rabbit
Human, Mouse, Rat
Rabbit
Polyclonal
Unconjugated
100 μlGrp75/HSPA9 Antibody [orb315150]
FC, ICC, IF, IHC, IP, WB
Human, Mouse, Rat
Rabbit
Polyclonal
Unconjugated
100 μgHSP A9 rabbit pAb Antibody [orb765453]
ELISA, IF, IHC, WB
Human, Monkey, Mouse, Rat
Polyclonal
Unconjugated
100 μl, 50 μl

Quality Guarantee
Explore bioreagents carefree to elevate your research. All our products are rigorously tested for performance. If a product does not perform as described on its datasheet, our scientific support team will provide expert troubleshooting, a prompt replacement, or a refund. For full details, please see our Terms & Conditions and Buying Guide. Contact us at [email protected].

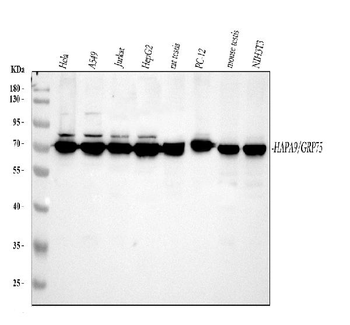
NIH/3T3 cells were subjected to SDS PAGE followed by western blot with orb627522 (GRP75 antibody) at dilution of 1:2000.

Immunofluorescent analysis of HepG2 cells using orb627522 (GRP75 antibody) at dilution of 1:25 and Rhodamine-Goat anti-Rabbit IgG.

IP Result of anti-GRP75 (IP: orb627522, 4 ug; Detection: orb627522 1:2000) with mouse brain tissue lysate 3680 ug.

Immunohistochemistry of paraffin-embedded human breast cancer using orb627522 (GRP75 antibody) at dilution of 1:100.
Quick Database Links
UniProt Details
−Documents Download
Request a Document
Protocol Information
HSPA9 Antibody (orb627522)
Participating in our Biorbyt product reviews program enables you to support fellow scientists by sharing your firsthand experience with our products.
Login to Submit a Review




























