You have no items in your shopping cart.
PIP Antibody
Description
Images & Validation
−| Tested Applications | FC, IF, IHC-P, WB |
|---|---|
| Reactivity | Human |
| Application Notes |
Key Properties
−| Antibody Type | Primary Antibody |
|---|---|
| Host | Mouse |
| Clonality | Monoclonal |
| Isotype | IgG2a, kappa |
| Clone No. | PIP/1571 |
| Immunogen | A human partial recombinant protein corresponding to amino acids 41-146 was used as the immunogen for the PIP antibody. |
| Target | PIP |
| Purification | Protein G affinity chromatography |
Storage & Handling
−| Storage | Maintain refrigerated at 2-8°C for up to 2 weeks. For long term storage store at -20°C in small aliquots to prevent freeze-thaw cycles. |
|---|---|
| Form/Appearance | Liquid |
| Buffer/Preservatives | PBS with 0.1 mg/ml rAlbumin and 0.05% sodium azide |
| Concentration | 0.2 mg/mL |
| Disclaimer | For research use only |
Alternative Names
−Similar Products
−GCDFP15 Recombinant Rabbit Monoclonal Antibody [orb1499347]
IF, IHC-Fr, IHC-P, WB
Human
Human
Rabbit
Recombinant
Unconjugated
25 μl, 100 μl, 50 μlHuman Prolactin Induced Protein (PIP) ELISA Kit [orb780130]
Human
0.63-40 ng/mL
0.261 ng/mL
96 T, 48 TBPNT1 Rabbit Polyclonal Antibody [orb312172]
IF, IHC-Fr, IHC-P, WB
Bovine, Rat
Human, Mouse
Rabbit
Polyclonal
Unconjugated
200 μl, 100 μl, 50 μl

Quality Guarantee
Explore bioreagents carefree to elevate your research. All our products are rigorously tested for performance. If a product does not perform as described on its datasheet, our scientific support team will provide expert troubleshooting, a prompt replacement, or a refund. For full details, please see our Terms & Conditions and Buying Guide. Contact us at [email protected].

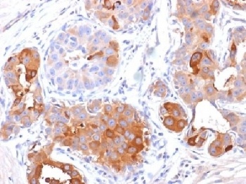
IHC testing of FFPE human breast carcinoma with PIP antibody (clone PIP/1571). Required HIER: boil tissue sections in 10mM Tris with 1mM EDTA, pH 9, for 10-20.

Western blot testing of human 1) pancreas and 2) HepG2 lysate with PIP antibody (clone PIP/1571). Expected molecular weight ~15 kDa.

SDS-PAGE Analysis of Purified, BSA-Free PIP Antibody (clone PIP/1571). Confirmation of Integrity and Purity of the Antibody.
Quick Database Links
UniProt Details
−Documents Download
Request a Document
Protocol Information
PIP Antibody (orb1252300)
Participating in our Biorbyt product reviews program enables you to support fellow scientists by sharing your firsthand experience with our products.
Login to Submit a Review











