You have no items in your shopping cart.
FUBP1 Antibody
Description
Research Area
Images & Validation
−| Tested Applications | IF, IHC, IP, WB |
|---|---|
| Reactivity | Human, Mouse, Rat |
| Application Notes |
Key Properties
−| Antibody Type | Primary Antibody |
|---|---|
| Host | Rabbit |
| Clonality | Polyclonal |
| Isotype | IgG |
| Immunogen | Recombinant fusion protein containing a sequence corresponding to amino acids 302-644 of human FUBP1 (NP_003893.2). |
| Target | FUBP1 |
| Molecular Weight | Observed: 79kDa |
| Purification | Affinity purification |
| Conjugation | Unconjugated |
Storage & Handling
−| Storage | Maintain refrigerated at 2-8°C for up to 2 weeks. For long term storage store at -20°C in small aliquots to prevent freeze-thaw cycles. |
|---|---|
| Form/Appearance | Liquid |
| Buffer/Preservatives | PBS with 0.02% sodium azide, 50% glycerol, pH 7.3. |
| Concentration | batch dependent |
| Expiration Date | 12 months from date of receipt. |
| Disclaimer | For research use only |
Alternative Names
−Similar Products
−FUBP1 Antibody [orb688983]
ELISA, FC, IF, IHC, IP, WB
Human
Rabbit
Monoclonal
Unconjugated
100 μl, 50 μlFUBP1 Antibody (Center) [orb1936112]
IHC-P, WB
Human, Mouse, Rat
Rabbit
Polyclonal
Unconjugated
100 μl, 50 μlFubp1 (mouse, aa160-174) Antibody [orb12321]
ELISA, IHC, WB
Bovine, Canine, Mouse, Porcine, Rat
Human
Goat
Polyclonal
Unconjugated
100 μgFUBP1 Rabbit Polyclonal Antibody [orb575587]
WB
Bovine, Canine, Equine, Guinea pig, Rabbit, Rat, Zebrafish
Human, Mouse
Rabbit
Polyclonal
Unconjugated
100 μlFUBP1 Rabbit Monoclonal Antibody [orb1474534]
IF, IHC, IP, WB
Human, Mouse, Rat
Rabbit
Monoclonal
Unconjugated
30 μl, 200 μl, 100 μl, 50 μl

Quality Guarantee
Explore bioreagents carefree to elevate your research. All our products are rigorously tested for performance. If a product does not perform as described on its datasheet, our scientific support team will provide expert troubleshooting, a prompt replacement, or a refund. For full details, please see our Terms & Conditions and Buying Guide. Contact us at [email protected].

Western blot analysis of extracts of various cell lines, using FUBP1 antibody (orb1257425) at 1:1000 dilution. Secondary antibody: HRP Goat Anti-Rabbit IgG (H+L) at 1:10000 dilution. Lysates/proteins: 25 ug per lane. Blocking buffer: 3% nonfat dry milk in TBST. Detection: ECL Enhanced Kit. Exposure time: 90s.

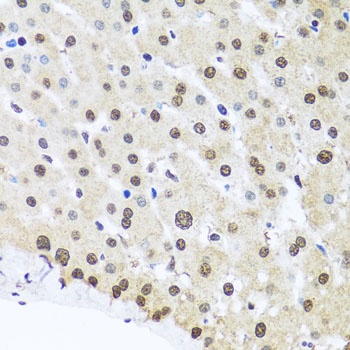
Immunohistochemistry of paraffin-embedded human liver damage using FUBP1 antibody (orb1257425) at dilution of 1:100 (40x lens).

Immunohistochemistry of paraffin-embedded human lung cancer using FUBP1 antibody (orb1257425) at dilution of 1:100 (40x lens).

Immunohistochemistry of paraffin-embedded mouse brain using FUBP1 antibody (orb1257425) at dilution of 1:100 (40x lens).

Immunofluorescence analysis of C6 cells using FUBP1 antibody (orb1257425) at dilution of 1:100. Blue: DAPI for nuclear staining.

Immunoprecipitation analysis of 200 ug extracts of HeLa cells, using 3 ug FUBP1 antibody (orb1257425). Western blot was performed from the immunoprecipitate using FUBP1 antibody (orb1257425) at a dilution of 1:1000.
Quick Database Links
UniProt Details
−Documents Download
Request a Document
Protocol Information
FUBP1 Antibody (orb1257425)
Participating in our Biorbyt product reviews program enables you to support fellow scientists by sharing your firsthand experience with our products.
Login to Submit a Review















