You have no items in your shopping cart.
FLNA Antibody
Description
Research Area
Images & Validation
−| Tested Applications | ELISA, IHC, WB |
|---|---|
| Dilution Range | ELISA:1:2000-1:10000, WB:1:1000-1:5000, IHC-P:1:50-1:200 |
| Reactivity | Human, Mouse |
Key Properties
−| Host | Rabbit |
|---|---|
| Clonality | Polyclonal |
| Isotype | IgG |
| Immunogen | Fusion protein of Human FLNA |
| Target | FLNA |
| Purification | Antigen Affinity Purified |
| Conjugation | Unconjugated |
Storage & Handling
−| Storage | Maintain refrigerated at 2-8°C for up to 2 weeks. For long term storage store at -20°C in small aliquots to prevent freeze-thaw cycles. |
|---|---|
| Form/Appearance | Liquid |
| Buffer/Preservatives | -20°C, pH7.4 PBS, 0.05% NaN3, 40% Glycerol |
| Expiration Date | 12 months from date of receipt. |
| Disclaimer | For research use only |
Alternative Names
−Similar Products
−Filamin A/FLNA Rabbit Polyclonal Antibody [orb570382]
ELISA, FC, ICC, IF, IHC, WB
Human, Mouse, Rat
Rabbit
Polyclonal
Unconjugated
100 μgFilamin A/FLNA Mouse Monoclonal Antibody [orb692222]
IF, IHC, WB
Human
Mouse
Monoclonal
Unconjugated
100 μgFilamin 1 (phospho Ser2152) rabbit pAb Antibody [orb764346]
ELISA, IF, IHC, WB
Human, Monkey, Mouse, Rat
Polyclonal
Unconjugated
100 μl, 50 μlFilamin 1 rabbit pAb Antibody [orb765220]
ELISA, IF, IHC, WB
Human, Mouse, Rat
Polyclonal
Unconjugated
100 μl, 50 μlFLNA Antibody (Y1046) [orb1928907]
FC, IF, IHC-P, WB
Mouse
Human
Rabbit
Polyclonal
Unconjugated
100 μl, 50 μl

Quality Guarantee
Explore bioreagents carefree to elevate your research. All our products are rigorously tested for performance. If a product does not perform as described on its datasheet, our scientific support team will provide expert troubleshooting, a prompt replacement, or a refund. For full details, please see our Terms & Conditions and Buying Guide. Contact us at [email protected].

Immunohistochemistry of paraffin-embedded Human brain tissue using FLNA antibody

Western blot aanalysis of Lane 1-3: PC3 cells, NIH/3T3 cells, HUVEB cellsusing FLNA antibody

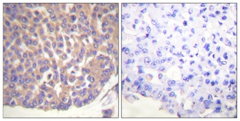
Immunohistochemistry of paraffin-embedded Human colon cancer tissue using FLNA antibody
Quick Database Links
UniProt Details
−Documents Download
Request a Document
Protocol Information
FLNA Antibody (orb520861)
Participating in our Biorbyt product reviews program enables you to support fellow scientists by sharing your firsthand experience with our products.
Login to Submit a Review




























