You have no items in your shopping cart.
FAF2 Antibody
Description
Research Area
Images & Validation
−| Tested Applications | ELISA, IF, IHC, IP, WB |
|---|---|
| Dilution Range | WB: 1:500-1:2000; IP: 1:200-1:2000; IHC: 1:20-1:200; IF: 1:20-1:200 |
| Reactivity | Human, Mouse, Rat |
Key Properties
−| Antibody Type | Primary Antibody |
|---|---|
| Host | Rabbit |
| Clonality | Polyclonal |
| Isotype | IgG |
| Immunogen | Fas associated factor family member 2 |
| Target | FAF2 |
| Molecular Weight | 53 kDa |
| Purity | ≥95% as determined by SDS-PAGE |
| Purification | Immunogen affinity purified |
| Conjugation | Unconjugated |
Storage & Handling
−| Storage | Maintain refrigerated at 2-8°C for up to 2 weeks. For long term storage store at -20°C in small aliquots to prevent freeze-thaw cycles. |
|---|---|
| Form/Appearance | liquid |
| Expiration Date | 12 months from date of receipt. |
| Disclaimer | For research use only |
Alternative Names
−Similar Products
−ETEA/UBXD8 Antibody [orb18739]
ELISA, WB
Bovine, Canine, Rat
Human, Mouse
Goat
Polyclonal
Unconjugated
100 μgFAF2 Recombinant Mouse Monoclonal Antibody [orb1172498]
ICC, IF, IHC-Fr, IHC-P, WB
Mouse, Rat
Human
Mouse
Recombinant
Unconjugated
25 μl, 100 μl, 50 μlFaf2 Rabbit Polyclonal Antibody [orb326419]
WB
Bovine, Canine, Equine, Guinea pig, Human, Rabbit, Rat, Zebrafish
Mouse
Rabbit
Polyclonal
Unconjugated
100 μlETEA Rabbit Polyclonal Antibody [orb156786]
WB
Equine, Gallus, Human, Rat, Sheep
Mouse
Rabbit
Polyclonal
Unconjugated
50 μl, 100 μl, 200 μl

Quality Guarantee
Explore bioreagents carefree to elevate your research. All our products are rigorously tested for performance. If a product does not perform as described on its datasheet, our scientific support team will provide expert troubleshooting, a prompt replacement, or a refund. For full details, please see our Terms & Conditions and Buying Guide. Contact us at [email protected].

IP Result of anti-FAF2 (IP: orb626894, 3 ug; Detection: orb626894 1:1000) with mouse brain tissue lysate 5000 ug.

mouse brain tissue were subjected to SDS PAGE followed by western blot with orb626894 (FAF2 antibody) at dilution of 1:1000.

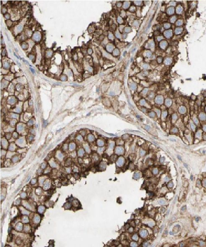
Immunohistochemistry of paraffin-embedded human testis using orb626894 (FAF2 antibody) at dilution of 1:50.
Quick Database Links
UniProt Details
−Documents Download
Request a Document
Protocol Information
FAF2 Antibody (orb626894)
Participating in our Biorbyt product reviews program enables you to support fellow scientists by sharing your firsthand experience with our products.
Login to Submit a Review






