You have no items in your shopping cart.
EEA1 Antibody
Description
Research Area
Images & Validation
−| Tested Applications | ELISA, IF, IHC, WB |
|---|---|
| Dilution Range | WB:1:500-5000, IHC-P:1:20-200, IF:1:50-200 |
| Reactivity | Human |
Key Properties
−| Host | Rabbit |
|---|---|
| Clonality | Polyclonal |
| Isotype | IgG |
| Immunogen | Recombinant Human Early endosome antigen 1 protein (734-875AA) |
| Target | EEA1 |
| Purification | >95%, Protein G purified |
| Conjugation | Unconjugated |
Storage & Handling
−| Storage | Maintain refrigerated at 2-8°C for up to 2 weeks. For long term storage store at -20°C in small aliquots to prevent freeze-thaw cycles. |
|---|---|
| Form/Appearance | Liquid |
| Buffer/Preservatives | Preservative: 0.03% Proclin 300. Constituents: 50% Glycerol |
| Expiration Date | 12 months from date of receipt. |
| Disclaimer | For research use only |
Alternative Names
−Similar Products
−Human Early Endosome Antigen 1 (EEA1) ELISA Kit [orb778243]
Human
0.32-20 ng/mL
0.108 ng/mL
96 T, 48 TEEA1 Rabbit Polyclonal Antibody [orb402272]
ICC, IF, IHC, WB
Human, Mouse, Rat
Rabbit
Polyclonal
Unconjugated
100 μgOrganelle Marker Antibody Panel [orb3130869]
IF, IHC, WB
Human, Mouse, Rat
Unconjugated
1 kit (5 x 25 μl)EEA1 Rabbit Polyclonal Antibody [orb1294269]
IF, IHC, WB
Human, Mouse, Rat
Rabbit
Polyclonal
Unconjugated
100 μl, 25 μlEEA1 Rabbit Polyclonal Antibody [orb329566]
IHC, IP, WB
Bovine, Canine, Equine, Guinea pig, Mouse, Rabbit
Human, Rat
Rabbit
Polyclonal
Unconjugated
100 μl

Quality Guarantee
Explore bioreagents carefree to elevate your research. All our products are rigorously tested for performance. If a product does not perform as described on its datasheet, our scientific support team will provide expert troubleshooting, a prompt replacement, or a refund. For full details, please see our Terms & Conditions and Buying Guide. Contact us at [email protected].

Western blot analysis of Hela whole cell lysate(Lane 1), K562 whole cell lysate(Lane 2) using EEA1 antibody

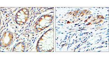
Immunohistochemical staining of human colon cancer using EEA1 antibody

Immunohistochemical staining of human placenta tissue using EEA1 antibody

Immunofluorescence analysis of Hela cells using EEA1 antibody
Quick Database Links
UniProt Details
−Documents Download
Request a Document
Protocol Information
EEA1 Antibody (orb400836)
Participating in our Biorbyt product reviews program enables you to support fellow scientists by sharing your firsthand experience with our products.
Login to Submit a Review
















