You have no items in your shopping cart.
You have no items in your shopping cart.
| Catalog Number | orb1247579 |
|---|---|
| Category | Antibodies |
| Description | DYX1C1 Antibody |
| Target | DYX1C1 |
| Clonality | Polyclonal |
| Conjugation | Unconjugated |
| Reactivity | Human |
| Predicted Reactivity | Mouse, Rat |
| Form/Appearance | Liquid |
| Concentration | 500 ug/mL |
| Buffer/Preservatives | Supplied at 0.5 mg/ml in Tris saline, 0.02% sodium azide, pH 7.3 with 0.5% bovine serum albumin. Aliquot and store at -20°C. Minimize freezing and thawing. |
| Purification | Purified from goat serum by ammonium sulphate precipitation followed by antigen affinity chromatography using the immunizing peptide. |
| Immunogen | The immunogen for this antibody is: C-KIRNVIQGTELKS |
| UniProt ID | Q8WXU2 |
| Tested applications | ELISA, IHC, WB |
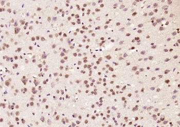
| Application notes | Peptide ELISA: antibody detection limit dilution 1:16000.Western Blot:Lysates of COS1 transfected with full length recombinant Human DYX1C1 gave bands at approx 48kDa after 0.1ug/ml antibody staining. In addition, a minor band of 24kDa is detected consistent with observations with N-terminal specific antibodies (unpublished data, LoTurco, Connecticut, USA). The 75kDa band is visible in the non-transfected COS1 also (first lane) and is therefore non-specific. We call for caution when this product is used in other assays than Western blot. Data kindly provided by Wang and LoTurco, University of Connecticut, USA.Immunohistochemistry:In paraffin embedded Human Cerebral Cortex shows cytoplasm staining in some of the neuronal cells. Recommended concentration, 5-10ug/ml. |
| Antibody Type | Primary Antibody |
| Storage | Maintain refrigerated at 2-8°C for up to 2 weeks. For long term storage store at -20°C in small aliquots to prevent freeze-thaw cycles. |
| Alternative names | DYX1C1, DYX1, EKN1, DYXC1, FLJ37882, dyslexia susc Read more... |
| Research Area | Cancer Biology |
| Note | For research use only |
| NCBI | NP_570722.2 |

orb1247579 staining (0.1 ug/ml) of COS1 cell lysates: untransfected (left lane) and transfected with full length recombinant Human DYX1C1 (right lane).

orb1247579 (5 ug/ml) staining of paraffin embedded Human Cerebral Cortex. Steamed antigen retrieval with citrate buffer pH 6, AP-staining.
IF, IHC-Fr, IHC-P, WB | |
Bovine, Canine, Gallus, Human, Zebrafish | |
Mouse, Rat | |
Rabbit | |
Polyclonal | |
Unconjugated |
ELISA, IHC, WB | |
Mouse, Rat | |
Human | |
Goat | |
Polyclonal | |
Unconjugated |
ELISA, IP, WB | |
Human, Mouse, Rat | |
Rabbit | |
Polyclonal | |
Unconjugated |
Participating in our Biorbyt product reviews program enables you to support fellow scientists by sharing your firsthand experience with our products.
Login to Submit a Review