You have no items in your shopping cart.
DDB1 antibody
Description
Images & Validation
−| Tested Applications | ICC, IHC-P, IP, WB |
|---|---|
| Dilution range | WB: 1:500-1:10000 , IF: 1:100-1:1000 , IHC-P: 1:100-1:1000 , IP: 1:500-1:1000 |
| Reactivity | Human, Mouse, Rat |
| Application Notes |
Key Properties
−| Antibody Type | Primary Antibody |
|---|---|
| Host | Rabbit |
| Clonality | Polyclonal |
| Isotype | IgG |
| Immunogen | Recombinant protein encompassing a sequence within the C-terminus region of human DDB1. The exact sequence is proprietary. |
| Target | DDB1 |
| Molecular Weight | 127 |
| Purity | Purified by antigen-affinity chromatography. |
| Purification | Purified by antigen-affinity chromatography. |
| Conjugation | Unconjugated |
Storage & Handling
−| Storage | Store as concentrated solution. Centrifuge briefly prior to opening vial. For short-term storage (1-2 weeks), store at 4°C. For long-term storage, aliquot and store at -20°lC or below. Avoid multiple freeze-thaw cycles. |
|---|---|
| Form/Appearance | Liquid: 0.1M Tris, 0.1M Glycine, 10% Glycerol (pH7). 0.01% Thimerosal was added as a preservative. |
| Buffer/Preservatives | 0.025% ProClin 300. 1XPBS (pH7), 1% rAlbumin, 20% Glycerol |
| Concentration | 0.81 mg/ml |
| Disclaimer | For research use only |
Alternative Names
−Similar Products
−DDB1 Antibody [orb312104]
FC, ICC, IF, IHC, IHC-Fr, WB
Human, Mouse, Rat
Rabbit
Polyclonal
Unconjugated
100 μgWDR26 Rabbit Polyclonal Antibody [orb11572]
FC, ICC, IF, IHC-Fr, IHC-P, WB
Bovine, Canine, Equine, Gallus
Human, Mouse, Rat
Rabbit
Polyclonal
Unconjugated
200 μl, 50 μl, 100 μlDDB1 Recombinant Mouse Monoclonal Antibody [orb1173015]
IF, IHC-Fr, IHC-P, WB
Human, Mouse, Rat
Human, Mouse, Rat
Mouse
Recombinant
Unconjugated
25 μl, 100 μl, 50 μl

Quality Guarantee
Explore bioreagents carefree to elevate your research. All our products are rigorously tested for performance. If a product does not perform as described on its datasheet, our scientific support team will provide expert troubleshooting, a prompt replacement, or a refund. For full details, please see our Terms & Conditions and Buying Guide. Contact us at [email protected].

Immunofluorescence analysis of HeLa cells using DDB1 antibody

Immunohistochemical staining of rat fore brain using DDB1 antibody

Immunohistochemical staining of mouse fore brain using DDB1 antibody

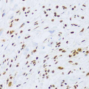
Immunohistochemical staining of Cal27 Xenograft using DDB1 antibody

Immunoprecipitation analysis of HeLa Whole cell using DDB1 antibody

Western blot analysis of Rat tissue using DDB1 antibody

Western blot analysis of Various whole cell using DDB1 antibody

Western blot analysis of mouse brain using DDB1 antibody

Western blot analysis of NIH-3T3 cells using DDB1 antibody

Western blot analysis of HepG2 cells using DDB1 antibody

Western blot analysis of Raji cells using DMC1 antibody
Quick Database Links
UniProt Details
−Documents Download
Request a Document
Protocol Information
DDB1 antibody (orb555881)
Participating in our Biorbyt product reviews program enables you to support fellow scientists by sharing your firsthand experience with our products.
Login to Submit a Review






























