You have no items in your shopping cart.
CEP70 Antibody
Description
Research Area
Images & Validation
−| Tested Applications | ELISA, IF, IHC, WB |
|---|---|
| Dilution Range | WB:1:1000-5000, IHC-P:1:20-200, IF:1:50-200 |
| Reactivity | Human |
Key Properties
−| Host | Rabbit |
|---|---|
| Clonality | Polyclonal |
| Isotype | IgG |
| Immunogen | Recombinant Human Centrosomal protein of 70 kDa protein (99-276AA) |
| Target | CEP70 |
| Purification | >95%, Protein G purified |
| Conjugation | Unconjugated |
Storage & Handling
−| Storage | Maintain refrigerated at 2-8°C for up to 2 weeks. For long term storage store at -20°C in small aliquots to prevent freeze-thaw cycles. |
|---|---|
| Form/Appearance | Liquid |
| Buffer/Preservatives | Preservative: 0.03% Proclin 300. Constituents: 50% Glycerol |
| Expiration Date | 12 months from date of receipt. |
| Disclaimer | For research use only |
Alternative Names
−Similar Products
−CEP70 rabbit pAb Antibody [orb764827]
ELISA, IF, IHC, WB
Human, Monkey
Polyclonal
Unconjugated
100 μl, 50 μlCEP70 Antibody [orb224129]
IHC, WB
Human, Mouse, Rat
Rabbit
Polyclonal
Unconjugated
30 μl, 100 μl, 200 μl, 50 μlCEP70 Rabbit Polyclonal Antibody [orb625726]
ELISA, IF, IHC, WB
Human, Mouse, Rat
Rabbit
Polyclonal
Unconjugated
50 μg, 100 μg

Quality Guarantee
Explore bioreagents carefree to elevate your research. All our products are rigorously tested for performance. If a product does not perform as described on its datasheet, our scientific support team will provide expert troubleshooting, a prompt replacement, or a refund. For full details, please see our Terms & Conditions and Buying Guide. Contact us at [email protected].

Immunohistochemistry of paraffin-embedded human pancreatic cancer tissue using CEP70 antibody

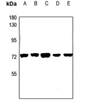
Western blot aanalysis of Human placenta tissue, PC-3 whole cell lysate, Mouse heart tissue, Mouse kidney tissueusing CEP70 antibody

Immunofluorescent analysis of MCF-7 cells using CEP70 antibody
Quick Database Links
UniProt Details
−Documents Download
Request a Document
Protocol Information
CEP70 Antibody (orb46459)
Participating in our Biorbyt product reviews program enables you to support fellow scientists by sharing your firsthand experience with our products.
Login to Submit a Review











