You have no items in your shopping cart.
You have no items in your shopping cart.
| Catalog Number | orb1247687 |
|---|---|
| Category | Antibodies |
| Description | CD2BP2 Antibody |
| Target | CD2BP2 |
| Clonality | Polyclonal |
| Conjugation | Unconjugated |
| Reactivity | Human |
| Predicted Reactivity | Bovine, Canine, Mouse, Rat |
| Form/Appearance | Liquid |
| Concentration | 500 ug/mL |
| Buffer/Preservatives | Supplied at 0.5 mg/ml in Tris saline, 0.02% sodium azide, pH 7.3 with 0.5% bovine serum albumin. Aliquot and store at -20°C. Minimize freezing and thawing. |
| Purification | Purified from goat serum by ammonium sulphate precipitation followed by antigen affinity chromatography using the immunizing peptide. |
| Immunogen | The immunogen for this antibody is: PKRKVTFQGVGDE-C |
| UniProt ID | O95400 |
| Tested applications | ELISA, IHC, WB |
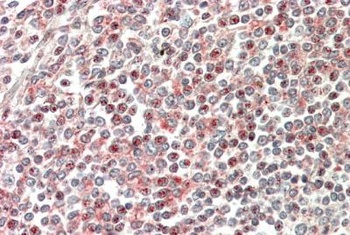
| Application notes | Peptide ELISA: antibody detection limit dilution 1:32000.Western Blot:Approx 50kDa band observed in Human Lymph Node, Thymus and Tonsil lysates (calculated MW of 37.6kDa according to NP_006101.1). The observed molecular weight corresponds to earlier findings in literature with different antibodies (Nishizawa et al, Proc Natl Acad Sci U S A. 1998 Dec 8;95(25):14897-902). Recommended concentration: 0.3-1.0ug/ml.Immunohistochemistry:In paraffin embedded Human Spleen shows nucleolar staining in select splenocytes. Recommended concentration: 5-10ug/ml. |
| Antibody Type | Primary Antibody |
| Storage | Maintain refrigerated at 2-8°C for up to 2 weeks. For long term storage store at -20°C in small aliquots to prevent freeze-thaw cycles. |
| Alternative names | CD2BP2, FWP010, LIN1, Snu40, CD2 antigen (cytoplas Read more... |
| Research Area | Cancer Biology |
| Note | For research use only |
| NCBI | NP_006101.1 |

orb1247687 (0.3 ug/ml) staining of Human Thymus lysate (35 ug protein in RIPA buffer). Primary incubation was 1 hour. Detected by chemiluminescence.

orb1247687 (5 ug/ml) staining of paraffin embedded Human Spleen. Steamed antigen retrieval with citrate buffer pH 6, AP-staining.
FC, IHC-P, WB | |
Mouse | |
Human | |
Rabbit | |
Polyclonal | |
Unconjugated |
ELISA, IHC, WB | |
Bovine, Canine, Mouse, Rat | |
Human | |
Goat | |
Polyclonal | |
Unconjugated |
IHC, WB | |
Human, Monkey | |
Rabbit | |
Polyclonal | |
Unconjugated |
Participating in our Biorbyt product reviews program enables you to support fellow scientists by sharing your firsthand experience with our products.
Login to Submit a Review