You have no items in your shopping cart.
You have no items in your shopping cart.
| Catalog Number | orb1254351 |
|---|---|
| Category | Antibodies |
| Description | CCL8 Antibody |
| Target | CCL8 |
| Clonality | Polyclonal |
| Isotype | IgG |
| Conjugation | Unconjugated |
| Reactivity | Human, Mouse |
| Form/Appearance | Liquid |
| Concentration | batch dependent |
| Buffer/Preservatives | Liquid |
| Purification | Affinity purification |
| Immunogen | Recombinant fusion protein containing a sequence corresponding to amino acids 23-99 of human CCL8 (NP_005614.2). |
| UniProt ID | P80075 |
| Tested applications | IF, IHC, WB |
| Application notes | WB: 1:500 - 1:2000IHC: 1:50 - 1:100IF: 1:50 - 1:100 |
| Antibody Type | Primary Antibody |
| Storage | Maintain refrigerated at 2-8°C for up to 2 weeks. For long term storage store at -20°C in small aliquots to prevent freeze-thaw cycles. |
| Alternative names | CCL8, HC14, MCP-2, MCP2, SCYA10, SCYA8 |
| Research Area | Immunology & Inflammation |
| Note | For research use only |

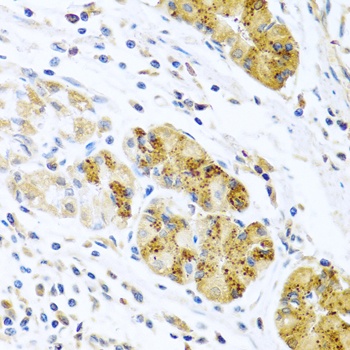
Immunohistochemistry of paraffin-embedded human liver using CCL8 antibody (orb1254351) at dilution of 1:100 (40x lens).

Immunohistochemistry of paraffin-embedded human prostate cancer using CCL8 antibody (orb1254351) at dilution of 1:100 (40x lens).

Immunohistochemistry of paraffin-embedded human stomach using CCL8 antibody (orb1254351) at dilution of 1:100 (40x lens).
Human | |
0.32-20 ng/mL | |
0.133 ng/mL |
Bovine | |
15.63-1000 pg/mL | |
6.7 pg/mL |
Porcine | |
7.82-500 pg/mL | |
3.2 pg/mL |
Canine | |
31.25-2000 pg/mL | |
12.1 pg/mL |
Rat | |
15.63-1000 pg/mL | |
7.1 pg/mL |
Participating in our Biorbyt product reviews program enables you to support fellow scientists by sharing your firsthand experience with our products.
Login to Submit a Review