You have no items in your shopping cart.
You have no items in your shopping cart.
| Catalog Number | orb1951407 |
|---|---|
| Category | Antibodies |
| Description | Caspase-6 Rabbit mAb |
| Clonality | Recombinant |
| Species/Host | Rabbit |
| Conjugation | Unconjugated |
| Reactivity | Human, Mouse, Rat |
| UniProt ID | P55212 |
| Tested applications | FC, ICC, IHC, IP, WB |
| Antibody Type | Recombinant Antibody |
| Storage | Maintain refrigerated at 2-8°C for up to 2 weeks. For long term storage store at -20°C in small aliquots to prevent freeze-thaw cycles. |
| Note | For research use only |

Immunofluorescent analysis of Jurkat cells, using Caspase-6 Antibody.

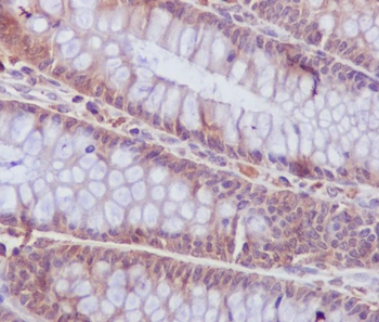
Immunohistochemical analysis of paraffin-embedded human colon, using Caspase-6 Antibody.

Western blot analysis of Caspase-6 expression in MCF-7 cell lysate.
ICC, IHC, IP, WB | |
Human, Mouse, Rat | |
Rabbit | |
Recombinant | |
Unconjugated |
Participating in our Biorbyt product reviews program enables you to support fellow scientists by sharing your firsthand experience with our products.
Login to Submit a Review