You have no items in your shopping cart.
Description
Research Area
Images & Validation
−| Tested Applications | IHC-P, WB |
|---|---|
| Dilution Range | Immunohistochemistry (FFPE): 1-2ug/ml,Western blot: 2-4ug/ml |
| Reactivity | Human |
| Application Notes |
Key Properties
−| Antibody Type | Primary Antibody |
|---|---|
| Host | Mouse |
| Clonality | Monoclonal |
| Isotype | Mouse IgG2b, kappa |
| Clone No. | CDH17/2615 |
| Immunogen | A recombinant human partial protein (amino acids 242-418) was used as the immunogen for the Cadherin 17 antibody. |
| Purification | Protein G affinity chromatography |
| Conjugation | Unconjugated |
Storage & Handling
−| Storage | Maintain refrigerated at 2-8°C for up to 2 weeks. For long term storage store at -20°C in small aliquots to prevent freeze-thaw cycles. |
|---|---|
| Buffer/Preservatives | 0.2 mg/ml in 1X PBS with 0.1 mg/ml rAlbumin and 0.05% sodium azide |
| Expiration Date | 12 months from date of receipt. |
| Disclaimer | For research use only |
Similar Products
−CDH17/Cadherin-17 Antibody [orb1805486]
ELISA, FA, FACS, In vivo
Human
Monoclonal
Unconjugated
1 mg, 100 μgLI-cadherin rabbit pAb Antibody [orb767305]
ELISA, IF, IHC, WB
Human, Mouse, Rat
Polyclonal
Unconjugated
50 μl, 100 μlCDH17/LI Cadherin Rabbit Polyclonal Antibody [orb11244]
IF, IHC-Fr, IHC-P, WB
Mouse
Human, Rat
Rabbit
Polyclonal
Unconjugated
50 μl, 100 μl, 200 μl

Quality Guarantee
Explore bioreagents carefree to elevate your research. All our products are rigorously tested for performance. If a product does not perform as described on its datasheet, our scientific support team will provide expert troubleshooting, a prompt replacement, or a refund. For full details, please see our Terms & Conditions and Buying Guide. Contact us at [email protected].

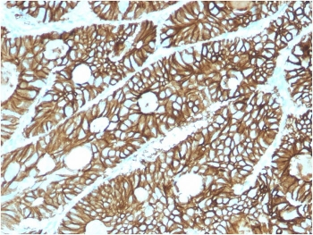
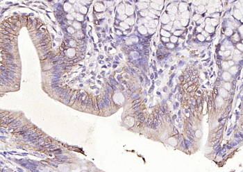
IHC staining of FFPE human colon with Cadherin 17 antibody (clone CDH17/2615). HIER: boil tissue sections in pH9 10mM Tris with 1mM EDTA for 10-20 min and allow to cool before testing.

Analysis of HuProt (TM) microarray containing more than 19000 full-length human proteins using Cadherin 17 antibody (clone CDH17/2615). These results demonstrate the foremost specificity of the CDH17/2615 mAb. Z- and S- score: The Z-score represents the strength of a signal that an antibody (in combination with a fluorescently-tagged anti-IgG secondary Ab) produces when binding to a particular protein on the HuProt (TM) array. Z-scores are described in units of standard deviations (SD's) above the mean value of all signals generated on that array. If the targets on the HuProt (TM) are arranged in descending order of the Z-score, the S-score is the difference (also in units of SD's) between the Z-scores. The S-score therefore represents the relative target specificity of an Ab to its intended target.

SDS-PAGE analysis of purified, BSA-free Cadherin 17 antibody (clone CDH17/2615) as confirmation of integrity and purity.
Quick Database Links
UniProt Details
−Documents Download
Request a Document
Protocol Information
Cadherin 17 Antibody (orb639563)
Participating in our Biorbyt product reviews program enables you to support fellow scientists by sharing your firsthand experience with our products.
Login to Submit a Review

















