You have no items in your shopping cart.
ANT-1 Polyclonal Antibody
Description
Research Area
Images & Validation
−| Tested Applications | ELISA, IF, IHC-Fr, IHC-P |
|---|---|
| Reactivity | Porcine, Rat |
Key Properties
−| Host | Rabbit |
|---|---|
| Clonality | Polyclonal |
| Conjugation | Unconjugated |
Storage & Handling
−| Storage | Maintain refrigerated at 2-8°C for up to 2 weeks. For long term storage store at -20°C in small aliquots to prevent freeze-thaw cycles |
|---|---|
| Expiration Date | 12 months from date of receipt. |
| Disclaimer | For research use only |
Alternative Names
−Similar Products
−SLC25A4 Rabbit Polyclonal Antibody [orb578940]
IHC, WB
Bovine, Canine, Equine, Goat, Guinea pig, Mouse, Rabbit, Sheep, Zebrafish
Human, Rat
Rabbit
Polyclonal
Unconjugated
100 μlANT1+ANT2+ANT3+ANT4 Rabbit Polyclonal Antibody [orb155671]
IF, IHC-Fr, IHC-P, WB
Equine, Human, Rabbit
Mouse, Rat
Rabbit
Polyclonal
Unconjugated
200 μl, 50 μl, 100 μlPRPF6 Rabbit Polyclonal Antibody [orb339044]
IHC, WB
Bovine, Human, Mouse, Rat
Rabbit
Polyclonal
Unconjugated
50 μl, 30 μl, 100 μl, 200 μl

Quality Guarantee
Explore bioreagents carefree to elevate your research. All our products are rigorously tested for performance. If a product does not perform as described on its datasheet, our scientific support team will provide expert troubleshooting, a prompt replacement, or a refund. For full details, please see our Terms & Conditions and Buying Guide. Contact us at [email protected].

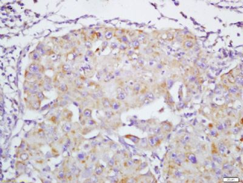
Tissue/cell: human lung carcinoma; 4% Paraformaldehyde-fixed and paraffin-embedded; Antigen retrieval: citrate buffer (0.01M, pH6.0), Boiling bathing for 15 min; Block endogenous peroxidase by 3% Hydrogen peroxide for 30 min; Blocking buffer (normal goat serum) at 37°C for 20 min; Incubation: Anti-ANT-1 Polyclonal Antibody, Unconjugated 1: 200, overnight at 4°C, followed by conjugation to the secondary antibody and DAB staining.
Quick Database Links
UniProt Details
−Documents Download
Request a Document
Protocol Information
ANT-1 Polyclonal Antibody (orb1417125)
Participating in our Biorbyt product reviews program enables you to support fellow scientists by sharing your firsthand experience with our products.
Login to Submit a Review
















