You have no items in your shopping cart.
SLC25A4 Rabbit Polyclonal Antibody
Description
Research Area
Images & Validation
−| Tested Applications | IHC, WB |
|---|---|
| Reactivity | Human, Rat |
| Predicted Reactivity | Bovine, Canine, Equine, Goat, Guinea pig, Mouse, Rabbit, Sheep, Zebrafish |
Key Properties
−| Host | Rabbit |
|---|---|
| Clonality | Polyclonal |
| Immunogen | The immunogen is a synthetic peptide directed towards the N terminal region of human SLC25A4 |
| Target | SLC25A4 |
| Protein Sequence | Synthetic peptide located within the following region: LLQVQHASKQISAEKQYKGIIDCVVRIPKEQGFLSFWRGNLANVIRYFPT |
| Molecular Weight | 33 kDa |
| Purification | Affinity Purified |
| Conjugation | Unconjugated |
Storage & Handling
−| Storage | Maintain refrigerated at 2-8°C for up to 2 weeks. For long term storage store at -20°C in small aliquots to prevent freeze-thaw cycles. |
|---|---|
| Buffer/Preservatives | Liquid. Purified antibody supplied in 1x PBS buffer with 0.09% (w/v) sodium azide and 2% sucrose. |
| Concentration | 0.5 mg/ml |
| Expiration Date | 12 months from date of receipt. |
| Disclaimer | For research use only |
Alternative Names
−Similar Products
−ANT1+ANT2+ANT3+ANT4 Rabbit Polyclonal Antibody [orb155671]
IF, IHC-Fr, IHC-P, WB
Equine, Human, Rabbit
Mouse, Rat
Rabbit
Polyclonal
Unconjugated
200 μl, 50 μl, 100 μlANT-1 Rabbit Polyclonal Antibody [orb100784]
IF, IHC-Fr, IHC-P
Bovine, Canine, Mouse, Porcine, Rabbit, Rat, Sheep
Human
Rabbit
Polyclonal
Unconjugated
50 μl, 100 μl, 200 μlSLC25A4 Rabbit Polyclonal Antibody [orb631257]
ELISA, WB
Human, Mouse, Rat
Rabbit
Polyclonal
Unconjugated
50 μg, 100 μgSLC25A4 Rabbit Polyclonal Antibody [orb2951177]
ELISA, IHC, WB
Human
Rabbit
Polyclonal
Unconjugated
50 μg, 100 μg

Quality Guarantee
Explore bioreagents carefree to elevate your research. All our products are rigorously tested for performance. If a product does not perform as described on its datasheet, our scientific support team will provide expert troubleshooting, a prompt replacement, or a refund. For full details, please see our Terms & Conditions and Buying Guide. Contact us at [email protected].

25 ug of the indicated Human whole cell extracts was loaded onto a 12% SDS-PAGE gel. 1 ug/ml of the antibody was used in this experiment. A smaller isoform may also be identified with this antibody at 22 kDa.

Sample Tissue: Human A549 Whole Cell, Antibody Dilution: 1 ug/ml.

Sample Tissue: Human DLD1 Whole Cell, Antibody Dilution: 1 ug/ml.

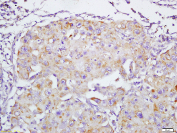
Sample Tissue: Human Ovary Tumor, Antibody Dilution: 1 ug/ml.

Sample Tissue: Human RPMI-8226, Antibody Dilution: 1.0 ug/ml.

Sample Tissue: Rat Skeletal Muscle, Antibody Dilution: 1 ug/ml.

Positive control (+): MCF7 (N10), Negative control (-): A549 (N03), Antibody concentration: 1 ug/ml.

Sample Tissue: Rat Skeletal Muscle, Antibody Dilution: 1 ug/ml.

Rabbit Anti-SLC25A4 Antibody, Catalog Number: orb578940, Formalin Fixed Paraffin Embedded Tissue: Human Pineal Tissue, Observed Staining: Cytoplasmic in cell bodies of pinealocytes and their processes, Primary Antibody Concentration: 1:100, Other Working Concentrations: 1/600, Secondary Antibody: Donkey anti-Rabbit-Cy3, Secondary Antibody Concentration: 1:200, Magnification: 20X, Exposure Time: 0.5-2.0 sec.

WB Suggested Anti-SLC25A4 Antibody Titration: 0.2-1 ug/ml, ELISA Titer: 1:312500, Positive Control: RPMI 8226 cell lysate. SLC25A4 is supported by BioGPS gene expression data to be expressed in RPMI 8226.
Documents Download
Request a Document
Protocol Information
SLC25A4 Rabbit Polyclonal Antibody (orb578940)
Participating in our Biorbyt product reviews program enables you to support fellow scientists by sharing your firsthand experience with our products.
Login to Submit a Review




