You have no items in your shopping cart.
ALPP Antibody
Description
Research Area
Images & Validation
−| Tested Applications | ELISA, IHC, IP, WB |
|---|---|
| Dilution Range | WB: 1:500-1:1000; IP: 1:500-1:1000; IHC: 1:20-1:200 |
| Reactivity | Human, Mouse |
Key Properties
−| Antibody Type | Primary Antibody |
|---|---|
| Host | Rabbit |
| Clonality | Polyclonal |
| Isotype | IgG |
| Immunogen | alkaline phosphatase, placental(Regan isozyme) |
| Target | ALPP |
| Molecular Weight | 58kd |
| Purity | ≥95% as determined by SDS-PAGE |
| Purification | Immunogen affinity purified |
| Conjugation | Unconjugated |
Storage & Handling
−| Storage | Maintain refrigerated at 2-8°C for up to 2 weeks. For long term storage store at -20°C in small aliquots to prevent freeze-thaw cycles. |
|---|---|
| Form/Appearance | liquid |
| Expiration Date | 12 months from date of receipt. |
| Disclaimer | For research use only |
Alternative Names
−Similar Products
−ALPP Antibody [orb1410309]
IHC, WB
Human
Mouse
Monoclonal
Unconjugated
20 μg, 100 μg, 100 μg (without BSA and Azide)Placental alkaline phosphatase/ALPP Rabbit Polyclonal Antibody [orb389385]
FC, ICC, IF, IHC, WB
Human
Rabbit
Polyclonal
Unconjugated
100 μgHuman Alkaline Phosphatase, Placental (ALPP) ELISA Kit [orb775674]
Human
125-8000 pg/mL
50 pg/mL
48 T, 96 TALPP Mouse Monoclonal Antibody [orb1145867]
FC, ICC, IF, IHC, WB
Human
Mouse
Monoclonal
Unconjugated
100 μgALPP Antibody [orb2309555]
IHC, WB
Human
Rabbit
Monoclonal
Unconjugated
100 μg, 100 μg (without BSA and Azide), 20 μg

Quality Guarantee
Explore bioreagents carefree to elevate your research. All our products are rigorously tested for performance. If a product does not perform as described on its datasheet, our scientific support team will provide expert troubleshooting, a prompt replacement, or a refund. For full details, please see our Terms & Conditions and Buying Guide. Contact us at [email protected].

HepG2 cells were subjected to SDS PAGE followed by western blot with orb629986 (ALPP Antibody) at dilution of 1:1000.

IP Result of anti-PLAP (IP: orb629986, 4 ug; Detection: orb629986 1:800) with HepG2 cells lysate 1800 ug.

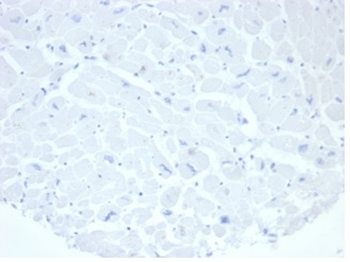
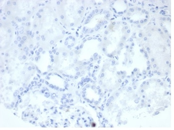
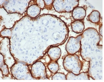
Immunohistochemistry of paraffin-embedded human placenta using orb629986 (ALPP antibody) at dilution of 1:100.
Quick Database Links
UniProt Details
−Documents Download
Request a Document
Protocol Information
ALPP Antibody (orb629986)
Participating in our Biorbyt product reviews program enables you to support fellow scientists by sharing your firsthand experience with our products.
Login to Submit a Review



















