You have no items in your shopping cart.
SFN Antibody
Description
Images & Validation
−| Tested Applications | ELISA, IHC, WB |
|---|---|
| Reactivity | Human, Mouse, Rat |
| Predicted Reactivity | Canine, Porcine |
| Application Notes |
Key Properties
−| Antibody Type | Primary Antibody |
|---|---|
| Host | Goat |
| Clonality | Polyclonal |
| Immunogen | The immunogen for this antibody is: C-DLHTLSEDSYKDST |
| Target | SFN |
| Purification | Purified from goat serum by ammonium sulphate precipitation followed by antigen affinity chromatography using the immunizing peptide. |
Storage & Handling
−| Storage | Maintain refrigerated at 2-8°C for up to 2 weeks. For long term storage store at -20°C in small aliquots to prevent freeze-thaw cycles. |
|---|---|
| Form/Appearance | Liquid |
| Buffer/Preservatives | Supplied at 0.5 mg/ml in Tris saline, 0.02% sodium azide, pH 7.3 with 0.5% bovine serum albumin. Aliquot and store at -20°C. Minimize freezing and thawing. |
| Concentration | 500 ug/mL |
| Disclaimer | For research use only |
Alternative Names
−Similar Products
−14-3-3 sigma/SFN Antibody [orb402233]
ELISA, FC, ICC, IF, IHC, WB
Human, Mouse, Rat
Rabbit
Polyclonal
Unconjugated
100 μgSFN Antibody (C-term) [orb1930263]
FC, IF, IHC-P, WB
Human, Mouse
Rabbit
Polyclonal
Unconjugated
50 μl, 100 μl14-3-3 sigma/SFN Antibody [orb76310]
FC, ICC, IF, IHC, WB
Human, Mouse, Rat
Rabbit
Polyclonal
Unconjugated
100 μg

Quality Guarantee
Explore bioreagents carefree to elevate your research. All our products are rigorously tested for performance. If a product does not perform as described on its datasheet, our scientific support team will provide expert troubleshooting, a prompt replacement, or a refund. For full details, please see our Terms & Conditions and Buying Guide. Contact us at [email protected].

orb1247868 (0.03 ug/ml) staining of Human Skin lysate (35 ug protein in RIPA buffer). Primary incubation was 1 hour. Detected by chemiluminescence.

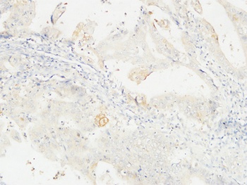
orb1247868 (2 ug/ml) staining of paraffin embedded Human Skin. Steamed antigen retrieval with Tris/EDTA buffer pH 9, HRP-staining.

orb1247868 (0.03 ug/ml) staining of A431 (A) and U2OS (B) cell lysate (35 ug protein in RIPA buffer). Detected by chemiluminescence.

orb1247868 (0.03 ug/ml) staining of Mouse (A) and Rat (B) Skin lysate (35 ug protein in RIPA buffer). Detected by chemiluminescence.
Quick Database Links
UniProt Details
−NCBI Reference Sequences
−| Protein | NP_006133.1 |
|---|
Documents Download
Request a Document
Protocol Information
SFN Antibody (orb1247868)
Participating in our Biorbyt product reviews program enables you to support fellow scientists by sharing your firsthand experience with our products.
Login to Submit a Review
















