You have no items in your shopping cart.
Description
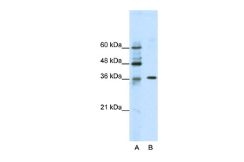
Images & Validation
−| Tested Applications | WB |
|---|---|
| Reactivity | Human |
| Application Notes |
Key Properties
−| Antibody Type | Primary Antibody |
|---|---|
| Host | Rabbit |
| Clonality | Polyclonal |
| Isotype | Rabbit Ig |
| Immunogen | This ZNF124 antibody is generated from rabbits immunized with a KLH conjugated synthetic peptide between 48-75 amino acids from the N-terminal region of human ZNF124. |
| Target | ZNF124 |
| Molecular Weight | 40 kDa |
| Purification | This antibody is purified through a protein A column, followed by peptide affinity purification. |
| Conjugation | Unconjugated |
Storage & Handling
−| Storage | Maintain refrigerated at 2-8°C for up to 2 weeks. For long term storage store at -20°C in small aliquots to prevent freeze-thaw cycles. |
|---|---|
| Form/Appearance | Liquid |
| Buffer/Preservatives | Supplied in PBS with 0.09% (W/V) sodium azide. |
| Concentration | batch dependent |
| Expiration Date | 12 months from date of receipt. |
| Disclaimer | For research use only |
Alternative Names
−Similar Products
−ZNF124 Rabbit Polyclonal Antibody [orb632741]
ELISA, IF, IHC, WB
Human
Rabbit
Polyclonal
Unconjugated
50 μg, 100 μgZNF124 Rabbit Polyclonal Antibody [orb575575]
WB
Equine, Mouse, Porcine, Rat
Human
Rabbit
Polyclonal
Unconjugated
100 μlZNF124 Rabbit Polyclonal Antibody [orb576624]
WB
Canine, Equine, Mouse, Porcine, Rat
Human
Rabbit
Polyclonal
Unconjugated
100 μl

Quality Guarantee
Explore bioreagents carefree to elevate your research. All our products are rigorously tested for performance. If a product does not perform as described on its datasheet, our scientific support team will provide expert troubleshooting, a prompt replacement, or a refund. For full details, please see our Terms & Conditions and Buying Guide. Contact us at [email protected].

Western blot analysis in T47D cell line lysates (35 ug/lane).
Documents Download
Request a Document
ZNF124 Antibody (orb1267420)
Participating in our Biorbyt product reviews program enables you to support fellow scientists by sharing your firsthand experience with our products.
Login to Submit a Review




