You have no items in your shopping cart.
You have no items in your shopping cart.
| Catalog Number | orb75548 |
|---|---|
| Category | Antibodies |
| Description | ZBTB3 Antibody |
| Clonality | Polyclonal |
| Species/Host | Rabbit |
| Conjugation | Unconjugated |
| Reactivity | Human, Mouse, Rat |
| UniProt ID | Q9H5J0 |
| Tested applications | ELISA, IHC, WB |
| Antibody Type | Primary Antibody |
| Storage | Maintain refrigerated at 2-8°C for up to 2 weeks. For long term storage store at -20°C in small aliquots to prevent freeze-thaw cycles. |
| Note | For research use only |

Western blot analysis of rat brain tissue lysate at (A) 1 and (B) 2 ug/mL using ZBTB3 antibody

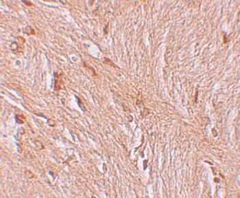
Immunohistochemical analysis of formalin-fixed and paraffin-embedded human brain tissue at 2.5 ug/mL using ZBTB3 antibody
WB | |
Bovine, Canine, Equine, Mouse, Porcine, Rat, Sheep | |
Human | |
Rabbit | |
Polyclonal | |
Unconjugated |
WB | |
Bovine, Rabbit | |
Human | |
Rabbit | |
Polyclonal | |
Unconjugated |
ELISA, IF, IHC-P, WB | |
Human, Mouse, Rat | |
Polyclonal | |
Unconjugated |
Participating in our Biorbyt product reviews program enables you to support fellow scientists by sharing your firsthand experience with our products.
Login to Submit a Review