You have no items in your shopping cart.
WISP2 Antibody
Description
Research Area
Images & Validation
−| Tested Applications | IF, IHC, WB |
|---|---|
| Reactivity | Human, Mouse, Rat |
| Application Notes |
Key Properties
−| Antibody Type | Primary Antibody |
|---|---|
| Host | Rabbit |
| Clonality | Polyclonal |
| Isotype | IgG |
| Immunogen | Recombinant fusion protein containing a sequence corresponding to amino acids 151-250 of human WISP2 (NP_003872.1). |
| Target | WISP2 |
| Purification | Affinity purification |
| Conjugation | Unconjugated |
Storage & Handling
−| Storage | Maintain refrigerated at 2-8°C for up to 2 weeks. For long term storage store at -20°C in small aliquots to prevent freeze-thaw cycles. |
|---|---|
| Form/Appearance | Liquid |
| Buffer/Preservatives | PBS with 0.02% sodium azide, 50% glycerol, pH 7.3. |
| Concentration | batch dependent |
| Expiration Date | 12 months from date of receipt. |
| Disclaimer | For research use only |
Alternative Names
−Similar Products
−WISP2 Rabbit Polyclonal Antibody [orb4993]
IF, IHC-Fr, IHC-P, WB
Bovine, Mouse, Porcine, Rabbit, Rat, Sheep
Human
Rabbit
Polyclonal
Unconjugated
100 μl, 50 μl, 200 μlHuman WNT1 Inducible Signaling Pathway Protein 2 (WISP2) ELISA Kit [orb777118]
Human
0.32-20 ng/mL
0.116 ng/mL
96 T, 48 TRat WNT1 Inducible Signaling Pathway Protein 2 (WISP2) ELISA Kit [orb782572]
Rat
0.16-10 ng/mL
0.072 ng/mL
96 T, 48 TMouse WNT1 Inducible Signaling Pathway Protein 2 (WISP2) ELISA Kit [orb2303047]
Mouse
0.16-10 ng/mL
0.069 ng/mL
48 T, 96 T

Quality Guarantee
Explore bioreagents carefree to elevate your research. All our products are rigorously tested for performance. If a product does not perform as described on its datasheet, our scientific support team will provide expert troubleshooting, a prompt replacement, or a refund. For full details, please see our Terms & Conditions and Buying Guide. Contact us at [email protected].

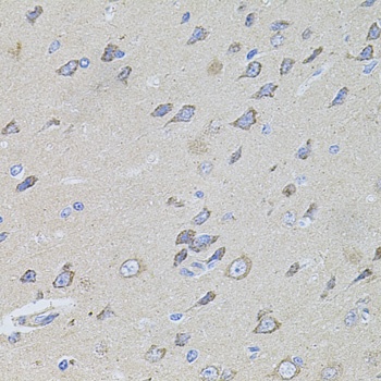
Immunohistochemistry of paraffin-embedded rat brain using WISP2 antibody (orb1254931) at dilution of 1:100 (40x lens).

Immunohistochemistry of paraffin-embedded human esophagus using WISP2 antibody (orb1254931) at dilution of 1:100 (40x lens).

Immunohistochemistry of paraffin-embedded human stomach using WISP2 antibody (orb1254931) at dilution of 1:100 (40x lens).

Immunohistochemistry of paraffin-embedded mouse brain using WISP2 antibody (orb1254931) at dilution of 1:100 (40x lens).
Quick Database Links
UniProt Details
−Documents Download
Request a Document
Protocol Information
WISP2 Antibody (orb1254931)
Participating in our Biorbyt product reviews program enables you to support fellow scientists by sharing your firsthand experience with our products.
Login to Submit a Review






