You have no items in your shopping cart.
You have no items in your shopping cart.
| Catalog Number | orb40789 |
|---|---|
| Category | Antibodies |
| Description | This WDR38 Antibody is an unconjugated polyclonal product. It tagets WDR38 using a Recombinant Human WD repeat-containing protein 38 protein (1-314AA) as the immunogen. This antibody is suitable for ELISA, IHC. Purification: Antigen Affinity Purified. |
| Target | WDR38 |
| Clonality | Polyclonal |
| Species/Host | Rabbit |
| Isotype | IgG |
| Conjugation | Unconjugated |
| Reactivity | Human |
| Form/Appearance | Liquid |
| Buffer/Preservatives | PBS with 0.02% sodium azide, 50% glycerol, pH7.3. |
| Purification | Antigen Affinity Purified |
| Immunogen | Recombinant Human WD repeat-containing protein 38 protein (1-314AA) |
| UniProt ID | Q5JTN6 |
| RRID | AB_10995229 |
| Tested applications | ELISA, IHC |
| Dilution range | IHC-P:1:20-200 |
| Storage | Maintain refrigerated at 2-8°C for up to 2 weeks. For long term storage store at -20°C in small aliquots to prevent freeze-thaw cycles. |
| Alternative names | WDR38 antibody; WD repeat-containing protein 38 an Read more... |
| Note | For research use only |

Immunohistochemical staining of human skeletal muscle tissue using WDR38 antibody

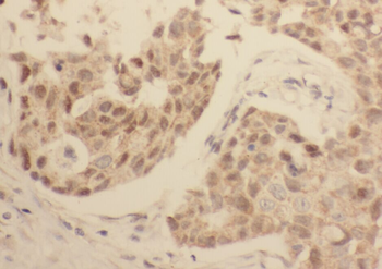
Immunohistochemical staining of human breast cancer using WDR38 antibody
ELISA, IHC, WB | |
Mouse, Rat | |
Human | |
Rabbit | |
Polyclonal | |
Unconjugated |
Participating in our Biorbyt product reviews program enables you to support fellow scientists by sharing your firsthand experience with our products.
Login to Submit a Review