You have no items in your shopping cart.
You have no items in your shopping cart.
| Catalog Number | orb1563486 |
|---|---|
| Category | Antibodies |
| Description | VEGFC Rabbit pAb |
| Target | VEGFC |
| Clonality | Polyclonal |
| Isotype | IgG |
| Conjugation | Unconjugated |
| Reactivity | Human, Mouse, Rat |
| Form/Appearance | Liquid |
| Buffer/Preservatives | Liquid in PBS containing 50% glycerol, 0.5% rAlbumin and 0.02% sodium azide, pH 7.3. |
| Purification | Affinity Purified |
| Immunogen | The antiserum was produced against synthesized peptide derived from the Internal region of human VEGFC. |
| UniProt ID | P49767 |
| MW | Calculated MW: 47 kDa; Observed MW: 42 kDa |
| Tested applications | ELISA, IHC-P, WB |
| Dilution range | WB: 1/500-1/1000 IHC: 1/50-1/100 ELISA: 1/10000 |
| Antibody Type | Primary Antibody |
| Storage | Maintain refrigerated at 2-8°C for up to 2 weeks. For long term storage store at -20°C in small aliquots to prevent freeze-thaw cycles. |
| Alternative names | VEGFC; Vascular endothelial growth factor C; VEGF- Read more... |
| Research Area | Cardiovascular Research |
| Note | For research use only |

Western blot analysis of VEGFC in L929 lysates using VEGFC antibody.

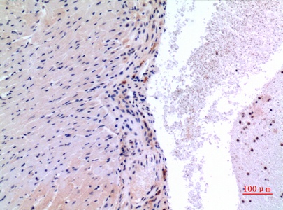
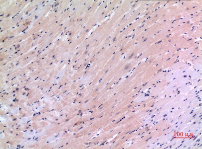
Immunohistochemistry analysis of paraffin-embedded mouse heart using VEGFC antibody. High-pressure and temperature Sodium Citrate pH 6.0 was used for antigen retrieval.

Immunohistochemistry analysis of paraffin-embedded mouse heart using VEGFC antibody. High-pressure and temperature Sodium Citrate pH 6.0 was used for antigen retrieval.
FC, IF | |
Human, Mouse, Rat | |
Rabbit | |
Polyclonal | |
BF700 |
WB | |
Human, Mouse, Rat | |
Rabbit | |
Polyclonal | |
IRDye800 |
FC, IF | |
Human, Mouse, Rat | |
Rabbit | |
Polyclonal | |
Pacific Blue |
IF | |
Equine, Porcine, Rat | |
Human, Mouse | |
Rabbit | |
Polyclonal | |
BF647 |
Participating in our Biorbyt product reviews program enables you to support fellow scientists by sharing your firsthand experience with our products.
Login to Submit a Review