You have no items in your shopping cart.
You have no items in your shopping cart.
| Catalog Number | orb395757 |
|---|---|
| Category | Antibodies |
| Description | Mouse monoclonal antibody to VAPB. |
| Target | VAPB |
| Clonality | Monoclonal |
| Species/Host | Mouse |
| Isotype | IgG1 |
| Conjugation | Unconjugated |
| Reactivity | Human |
| Form/Appearance | liquid |
| Purity | ≥95% as determined by SDS-PAGE |
| Purification | Protein A+G purified |
| Immunogen | VAMP(vesicle-associated membrane protein)-associated protein B and C |
| UniProt ID | O95292 |
| MW | 27 kDa |
| Tested applications | ELISA, IF, IHC, WB |
| Dilution range | WB: 1:500-1:5000; IHC: 1:20-1:200;IF: 1:20-1:200 |
| Antibody Type | Primary Antibody |
| Storage | Maintain refrigerated at 2-8°C for up to 2 weeks. For long term storage store at -20°C in small aliquots to prevent freeze-thaw cycles. |
| Alternative names | ALS8, VAMP associated protein B/C, VAMP B, VAMP B/ Read more... |
| Research Area | Epigenetics, Infectious Diseases, Neuroscience |
| Note | For research use only |

HepG2 cells were subjected to SDS PAGE followed by western blot with orb395757 (VAPB Antibody) at dilution of 1:1000.

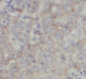
Immunohistochemistry of paraffin-embedded human breast cancer tissue slide using orb395757 (VAPB Antibody) at dilution of 1:50.
ELISA, FC, ICC, IF, IHC, WB | |
Human, Mouse | |
Rabbit | |
Polyclonal | |
Unconjugated |
Participating in our Biorbyt product reviews program enables you to support fellow scientists by sharing your firsthand experience with our products.
Login to Submit a Review