You have no items in your shopping cart.
TXNDC11 Antibody
Description
Images & Validation
−| Tested Applications | ELISA, IHC, WB |
|---|---|
| Reactivity | Human |
| Application Notes |
Key Properties
−| Antibody Type | Primary Antibody |
|---|---|
| Host | Goat |
| Clonality | Polyclonal |
| Immunogen | The immunogen for this antibody is: C-QLDYAEYVRRDSE |
| Target | TXNDC11 |
| Purification | Purified from goat serum by ammonium sulphate precipitation followed by antigen affinity chromatography using the immunizing peptide. |
| Conjugation | Unconjugated |
Storage & Handling
−| Storage | Maintain refrigerated at 2-8°C for up to 2 weeks. For long term storage store at -20°C in small aliquots to prevent freeze-thaw cycles. |
|---|---|
| Form/Appearance | Liquid |
| Buffer/Preservatives | Supplied at 0.5 mg/ml in Tris saline, 0.02% sodium azide, pH 7.3 with 0.5% bovine serum albumin. Aliquot and store at -20°C. Minimize freezing and thawing. |
| Concentration | 500 ug/mL |
| Expiration Date | 12 months from date of receipt. |
| Disclaimer | For research use only |
Alternative Names
−Similar Products
−Goat anti-TXNDC11 (aa113-126) Antibody [orb22515]
ELISA, IHC, WB
Human
Goat
Polyclonal
Unconjugated
100 μgTXNDC11 Rabbit Polyclonal Antibody [orb158674]
ELISA, ICC, IF, IHC-Fr, IHC-P
Bovine, Canine, Equine, Human, Mouse, Rat, Sheep
Human
Rabbit
Polyclonal
Unconjugated
200 μl, 50 μl, 100 μlTXNDC11 Rabbit Polyclonal Antibody [orb632266]
ELISA, WB
Human
Rabbit
Polyclonal
Unconjugated
50 μg, 100 μg

Quality Guarantee
Explore bioreagents carefree to elevate your research. All our products are rigorously tested for performance. If a product does not perform as described on its datasheet, our scientific support team will provide expert troubleshooting, a prompt replacement, or a refund. For full details, please see our Terms & Conditions and Buying Guide. Contact us at [email protected].

orb1249264 (1 ug/ml) staining of Human Thymus lysate (35 ug protein in RIPA buffer). Detected by chemiluminescence.

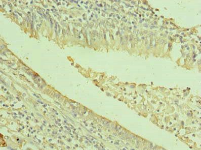
orb1249264 (5 ug/ml) staining of paraffin embedded Human Small Intestine. Steamed antigen retrieval with citrate buffer pH 6, AP-staining.
Quick Database Links
UniProt Details
−NCBI Reference Sequences
−| Protein | NP_056998.4 |
|---|
Documents Download
Request a Document
Protocol Information
TXNDC11 Antibody (orb1249264)
Participating in our Biorbyt product reviews program enables you to support fellow scientists by sharing your firsthand experience with our products.
Login to Submit a Review







